Skip to main content
Hospital for Special Surgery Logo
phone 1.212.606.1000
Make an Appointment
1.212.606.1000 Make an Appointment
Back to Patient Stories Overview
Patient image of: Brooke Schlesinger

Brooke Schlesinger

Bondi Beach, Australia

Ankle Fractures (Broken Ankle)

Patient image of: Brooke Schlesinger

I've been meaning to write this for a while to express my heartfelt gratitude, appreciation, and awe at what Dr. Levine and his team were able to achieve as my doctors.

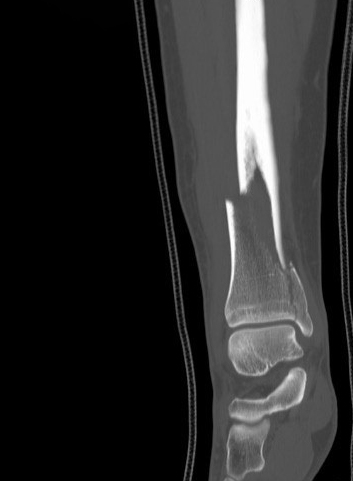
In 2020, I suffered a bad fall (who knew slipping off a not so outrageously tall boulder could be so consequential?) that left me unable to move my leg or stand at all, with the foot pointed in an unnatural direction. Eight firemen, an ATV ride with a gurney I was strapped into, and an hour-long ambulance ride later, I found out it was no minor break: I had a serious displaced tibia/fibula spiral pilon fracture. The rural hospital told me my leg looked like something seen in major car or skiing accidents, and after keeping me on a morphine drip overnight, they ended up declining to perform the surgery. They said it was too complex for them to feel confident handling.

Little did I know, their inability to operate was a massive blessing in disguise. Through recommendations and calls from friends and family friends, I was connected to Dr. Levine at HSS. I saw him a few days after the break and had surgery with him and his team about a week after the accident. From the moment I met him (despite the haze of pain, anxiety, and extreme sleep deprivation) I felt like I was in the right hands. Dr. Levine's straightforwardness was appreciated, and it was paired masterfully with a non-arrogant confidence and genuine warmth. After meeting with him and navigating the many departments at HSS (it was peak COVID, so there were a lot of pre-op protocols and tests), I truly felt I had landed in the best place possible to repair my shattered leg and eventually return to normal life.

My first surgery with Dr. Levine was an internal fixation to realign the bones and give me a chance to eventually walk again. I ended up with two metal plates and about a dozen screws. Seeing the post-op images of the repair confirmed what I already felt: surgery is absolutely a science but with masters like Dr. Levine, it's also an art. The recovery was tough, off my leg for months and isolated in a walk-up Brooklyn apartment, but Dr. Levine prepared me for that. He made it clear that the recovery would be hard, painful, and boring, but I'd get through it.

I also want to shout out his attending resident at the time, Lauren. She handled some of my appointments and was incredibly kind and knowledgeable.

In 2023, I had most of the hardware removed (also by Dr. Levine) and he was just as thorough and skilled with that procedure as the first.

If you had told me in 2020, after the accident, what my life would look like today, I wouldn't have believed you. I've since moved to Australia, where I now live a full life; one that includes hiking (yes, I got back out there!), coastal walks, swimming, and even running, nearly entirely pain-free. It was a long road to get here but I can say with complete confidence: if you have significant leg or ankle trauma requiring orthopedic intervention, your best shot at a real recovery is with Dr. Levine and the team at HSS. Thank you (from Down Under!) from the bottom of my heart.

HSS Providers

David S. Levine, MD

David S. Levine, MD

Foot and Ankle Surgeon

Schedule a virtual or in-person appointment with an HSS specialist today. Start your request online or call 1.800.796.0482.

Make an Appointment
Robert Woodbine Image

Share Your Story and Help Others Get the Right Care

You can help inspire others by sharing your story as a patient at HSS.