Skip to main content
Hospital for Special Surgery Logo
phone 1.212.606.1000
Make an Appointment
1.212.606.1000 Make an Appointment
Back to Patient Stories Overview
Patient image of: Matt Holdrege

Matt Holdrege

New York, NY

Ankle Fractures (Broken Ankle)

Patient image of: Matt Holdrege

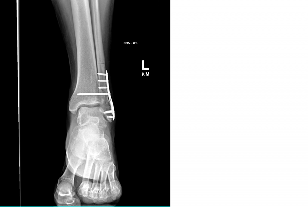
I broke my ankle, just slipping on the sidewalk on a rainy NYC day. I was x-rayed and was told to go to ER which was at NYP. A resident there set the bone and put it in a splint/cast. A few days later I went to Dr. Behrens' office and was told I needed surgery to bring the bones back together and hold them in place with a plate and screws.

Dr. Behrens and his PA Meagan Murtagh were thoroughly professional as were the nurses and radiology team at HSS. I was most happy to have an honest and open Q&A session with them. I agreed to the surgery. All went well and I was back in a new cast. About 5 weeks later the cast came off and I stayed off the ankle for another 2 weeks or so. I went back to Dr. Behrens and got another x-ray and I was pronounced as ready to walk with a cane. But that only lasted a couple of days and I was soon walking gingerly without the cane and recovering all the muscle strength and range of motion at PT sessions.

I went back a few months later and had another x-ray. This showed two things. The bone was healing well, and the largest screw, which traversed the ankle broke in two. But Dr. Behrens assured me that this is somewhat normal and in fact studies showed that patients who had the same thing happen did better over time. I then went back to my usual Yoga routine and walking around New York.

Some more months went by and I went back for my final appointment and x-Ray. My ankle was thoroughly healed and the case was closed.

HSS Providers

Steve B. Behrens, MD

Steve B. Behrens, MD

Foot and Ankle, Sports Medicine, and Trauma Surgeon

Schedule a virtual or in-person appointment with an HSS specialist today. Start your request online or call 1.800.796.0482.

Make an Appointment
Robert Woodbine Image

Share Your Story and Help Others Get the Right Care

You can help inspire others by sharing your story as a patient at HSS.