Stephen Fleming
New York, NY
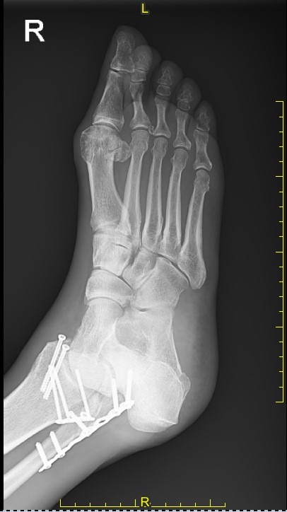
Ankle Fractures (Broken Ankle)
Share this Story
I fell and broke my ankle while roller skating in Central Park. Fortunately, I was taken to HSS at NYP, where I received outstanding care at all levels. Dr. Behrens did surgery for three broken bones in my ankle, and everything went well. Now, eight months later, I am doing everything like before - going up and down the stairs, working out at the gym, and doing the Limbo!
HSS Providers
Steve B. Behrens, MD
Foot and Ankle, Sports Medicine, and Trauma Surgeon
Schedule a virtual or in-person appointment with an HSS specialist today. Start your request online or call 1.800.796.0482.
Similar Stories by Topic
Share Your Story and Help Others Get the Right Care
You can help inspire others by sharing your story as a patient at HSS.
Explore Related Patient Stories
View All Patient Stories
Frederick Feuerbach MD
Larchmont, NY
Ankle Fractures (Broken Ankle)
Antonio Chohfi Cury
São Paulo, Brazil
Ankle Fractures (Broken Ankle)
Kathleen Wells
New York, NY
Ankle Fractures (Broken Ankle)
Juliana Emmanuelli
New York, NY
Ankle Fractures (Broken Ankle)
Lizabeth Prentiss
East Norwich, NY
Ankle Fractures (Broken Ankle)
William Buell
New York, NY
Ankle Fractures (Broken Ankle)
Larry Nipon
Hillsdale, NY
Ankle Fractures (Broken Ankle)
Allison Wieczorek
New York, NY
Ankle Fractures (Broken Ankle)
Betsy Lewin
Brooklyn, NY
Ankle Fractures (Broken Ankle)
Peri Edelman
New York, NY
Ankle Fractures (Broken Ankle)
Robin Belsky
Mahopac, NY
Ankle Fractures (Broken Ankle)
Juliana Wilson
Staten Island, NY
Ankle Fractures (Broken Ankle)
Clara Rodriguez
Miami, FL
Ankle Fractures (Broken Ankle)
Emily Stewart
Philadelphia, PA
Ankle Fractures (Broken Ankle)
Susan Berger-Jones
Brooklyn, NY
Ankle Fractures (Broken Ankle)
Kim Smith
Miami Beach, FL
Ankle Fractures (Broken Ankle)