Skip to main content
Hospital for Special Surgery Logo
phone 1.212.606.1000
Make an Appointment
1.212.606.1000 Make an Appointment
Back to Patient Stories Overview
Patient image of: Amanda Knight

Amanda Knight

Loxahatchee, FL

Kneecap Pain and Injury

Patient image of: Amanda Knight

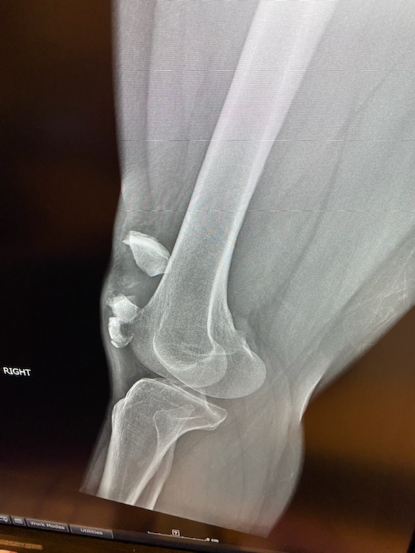
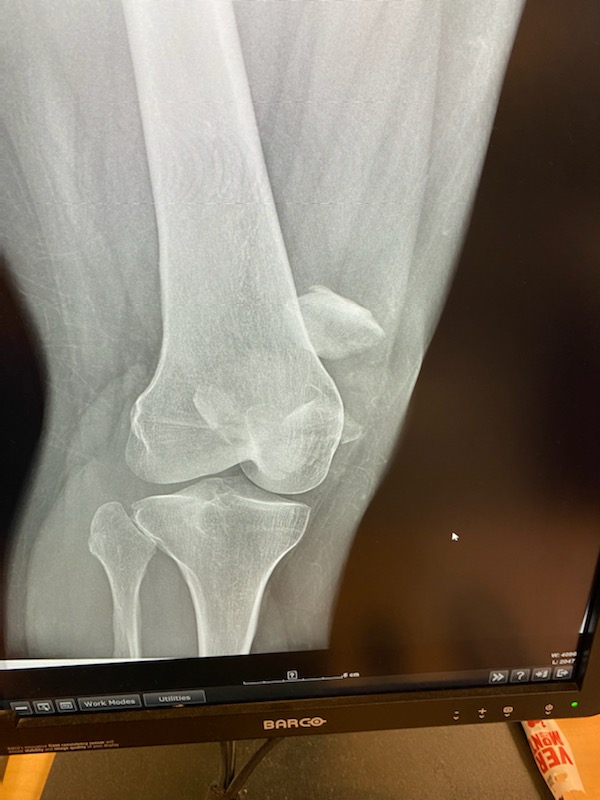
I slipped and fell, fracturing my patella into multiple pieces. I was placed into an immobilizer and sent home to find an orthopedic trauma surgeon. My aunt who is in the orthopedic industry, a friend who is a physical therapist/trainer and another orthopedic physician all highly recommended Dr. Nicholas Sama. Dr. Sama had me in his office literally the next day. He reviewed my records and imaging and explained my injury which was severe. He explained the possible treatments available and the all the risks associated. ORIF of the patella was to be my treatment. I was scheduled the following week at HSS Florida in West Palm Beach, which by the way is a fantastic facility. The procedure was again explained in detail and surgery commenced. Dr. Sama and his team worked meticulously at repairing my patella. Eleven screws and a mesh plate later, surgery was complete. I was placed in an immobilizer and was literally on my feet an hour after surgery. Two months post-op and I'm at 90% full mobility and all done without physical therapy! Dr. Sama literally is a godsend. He is an a amazing surgeon with fantastic bedside manner, which are attributes in the healthcare industry that are hard to find together!

HSS Providers

Nicholas Sama, MD

Nicholas Sama, MD

Trauma Surgeon

Schedule a virtual or in-person appointment with an HSS specialist today. Start your request online or call 1.800.796.0482.

Make an Appointment
Robert Woodbine Image

Share Your Story and Help Others Get the Right Care

You can help inspire others by sharing your story as a patient at HSS.