Skip to main content
Hospital for Special Surgery Logo
phone 1.212.606.1000
Make an Appointment
1.212.606.1000 Make an Appointment
Back to Patient Stories Overview
Patient image of: Bill Morton

Bill Morton

Oxford, CT

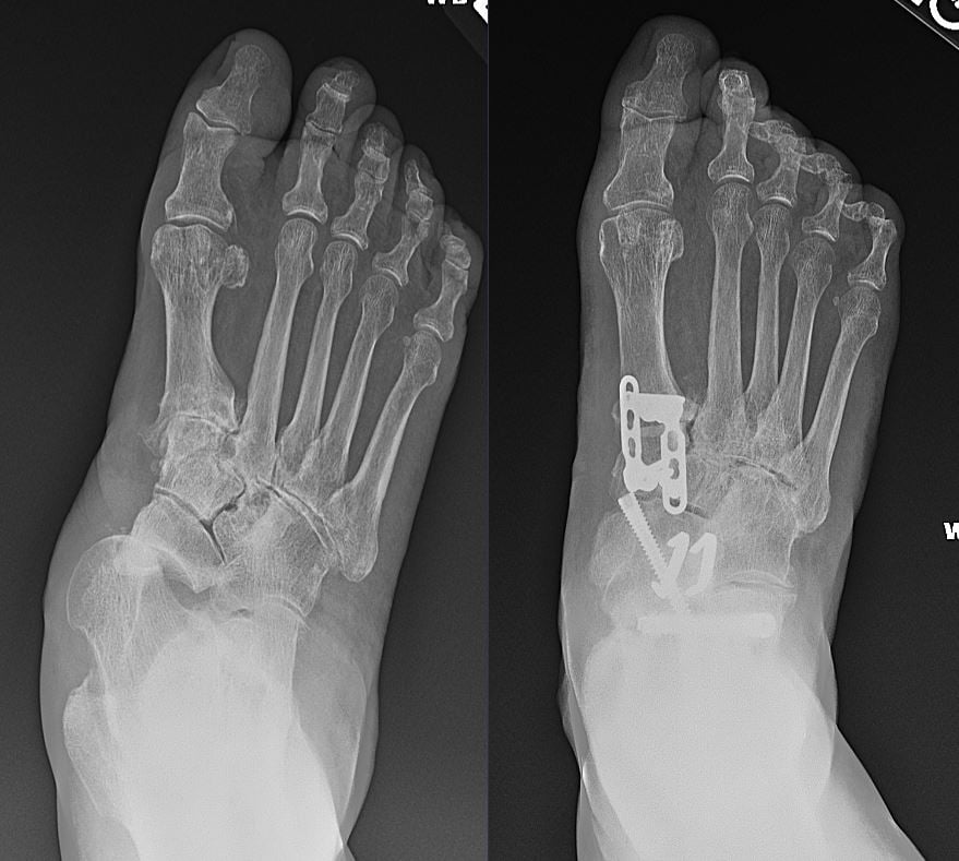
Arthritis of the Foot and Ankle

Patient image of: Bill Morton

I had a badly deformed arthritic right foot and had reached a point where it was very painful and difficult to walk. Prior to seeing Dr. Cody, I had met with a leading university hospital foot surgeon. He told me the surgery on my foot would take seven hours and he couldn’t guarantee that I’d see any improvement after surgery. Several months later and after further deterioration of my ability to walk, I met with Dr. Cody. After taking x-rays of my foot she said she could repair my foot and proceeded to describe the surgery. Immediately post-surgery after the nerve block wore off, I had less pain than I did pre-surgery. One year later, I’m walking without any pain and doing all of my normal life activities. Needless to say, I’m extremely satisfied with the surgical outcome. I highly recommend Dr. Cody and have already referred 2 friends to her.

HSS Providers

Elizabeth A. Cody, MD

Elizabeth A. Cody, MD

Foot and Ankle Surgeon

Schedule a virtual or in-person appointment with an HSS specialist today. Start your request online or call 1.800.796.0482.

Make an Appointment
Robert Woodbine Image

Share Your Story and Help Others Get the Right Care

You can help inspire others by sharing your story as a patient at HSS.