Skip to main content
Hospital for Special Surgery Logo
phone 1.212.606.1000
Make an Appointment
1.212.606.1000 Make an Appointment
Back to Patient Stories Overview
Patient image of: Ramon Gilsanz

Ramon Gilsanz

New York, NY

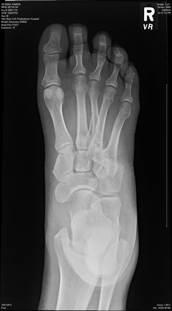
Bone Fracture (Broken Bone)

Patient image of: Ramon Gilsanz

I can walk thanks to Dr. Dziadosz. I can not recommend him and his colleagues more highly.

Last February I was in a devastating motorcycle accident. Four of the five bones that connect the ankle to the toes were broken, several in multiple places some of the broken bones punctured the skin in what is called an open or compound fracture. I was told by multiple doctors that I would never walk again. I made my way to Dr. Dziadosz (3 plane rides and 60 hours after the accident) with the help of family and friends. Dr. Dziadosz told me with confidence that I would walk again within the year. He was right. 11 months later I walk around 33 miles a week and I can do 8 miles in a day without a limp, and without a cane. Something I never thought would be possible again.

I am tremendously grateful to Dr. Dziadosz and his team - from Eloina, the patient care coordinator, to the NP, the PA and the therapists. Thank you all for letting me walk again.

HSS Providers

Schedule a virtual or in-person appointment with an HSS specialist today. Start your request online or call 1.800.796.0482.

Make an Appointment
Robert Woodbine Image

Share Your Story and Help Others Get the Right Care

You can help inspire others by sharing your story as a patient at HSS.