Skip to main content
Hospital for Special Surgery Logo
phone 1.212.606.1000
Make an Appointment
1.212.606.1000 Make an Appointment
Back to Patient Stories Overview
Patient image of: Katherine Ventres

Katherine Ventres

Wethersfield, CT

Hip Replacement

Patient image of: Katherine Ventres

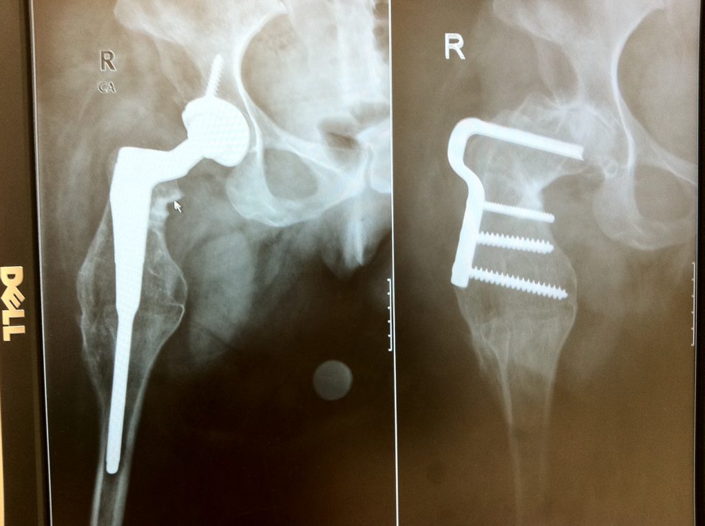
Doctor Mathias Bostrom and HSS changed my life. I was born with PFFD a rare birth defect where I was missing my femur bone. I went to see Doctor Bostrom due to horrible hip pain. I had searched high and low for a specialist in CT but to no avail. After months of research and doctors visits I found myself reading the profiles of orthopedic surgeons at Hospital for Special Surgery. After reading Dr Bostrom's profile I knew he was the surgeon I had been looking for. He and his team built me and one of a kind hip replacement and seven months later, in September of 2010, I was in surgery. That will be 7 years ago this September. I saw him today and am so incredibly pleased that the procedure has been a huge success. Doctor Bostrom is a life changing surgeon. I am so grateful for his knowledge and expertise.

HSS Providers

Mathias P. Bostrom, MD

Mathias P. Bostrom, MD

Hip and Knee Replacement Surgeon

Schedule a virtual or in-person appointment with an HSS specialist today. Start your request online or call 1.800.796.0482.

Make an Appointment
Robert Woodbine Image

Share Your Story and Help Others Get the Right Care

You can help inspire others by sharing your story as a patient at HSS.