Skip to main content
Hospital for Special Surgery Logo
phone 1.212.606.1000
Make an Appointment
1.212.606.1000 Make an Appointment
Back to Patient Stories Overview
Patient image of: Greg Young

Greg Young

Redding, CA

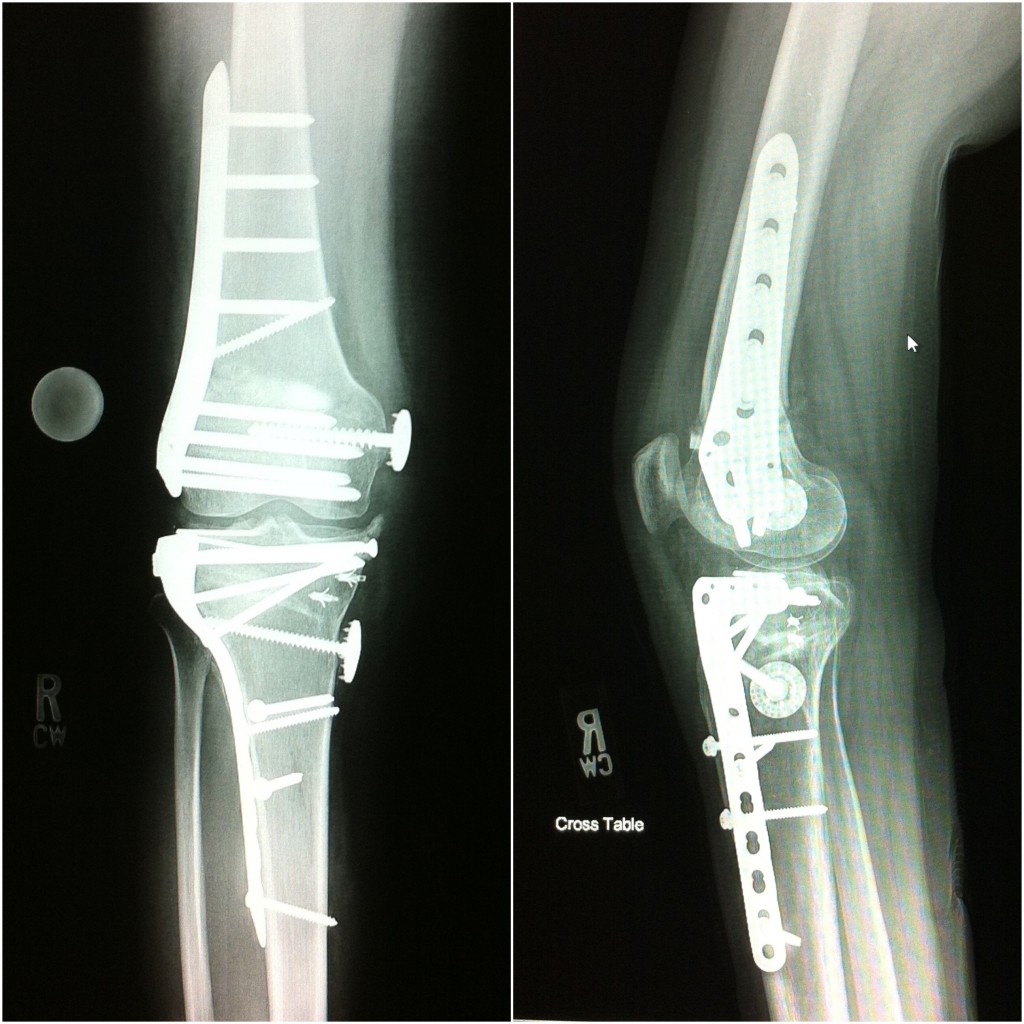
Broken Leg (Leg Fracture)

Patient image of: Greg Young

The events that transpired since my horrific ski accident left me feeling as though I would never walk again much less ski with my children. I had shattered both my tibia and fibula and 8 surgeries prior to visiting Dr. Fragomen's office. It has now been 9 months since my last surgery and I wanted to tell you about a magical time my family just had together. We are at Sunday River, a ski resort in Maine, I have donned my skis, and am skiing with my 11 year-old daughter, who wants to be a professional snow board rider when she grows up. This has been a very special weekend. This weekend also served as a trial run, as Cathy and I are getting married, slopeside, on December 28. All four of our children will be present. All this has been made possible by the hard work of you and all your colleagues at Hospital for Special Surgery. Without the dedication of your group, I am convinced prosthesis was in my future. It is with special gratitude that I write this letter, if there is ever anything I can do for your practice or for you personally, please feel free to contact me.

HSS Providers

Austin T. Fragomen, MD

Austin T. Fragomen, MD

Limb Lengthening Surgeon

Schedule a virtual or in-person appointment with an HSS specialist today. Start your request online or call 1.800.796.0482.

Make an Appointment
Robert Woodbine Image

Share Your Story and Help Others Get the Right Care

You can help inspire others by sharing your story as a patient at HSS.