Skip to main content
Hospital for Special Surgery Logo
phone 1.212.606.1000
Make an Appointment
1.212.606.1000 Make an Appointment
Back to Patient Stories Overview
Patient image of: Adam Turteltaub

Adam Turteltaub

New York, NY

Broken Leg (Leg Fracture)

Patient image of: Adam Turteltaub

I have been meaning to write this for years to express my gratitude and appreciation for the care I received from Dr. David Levine and his staff at HSS.

My whole life I have been very active and truly enjoy the outdoors. Any chance I get I try to spend doing something active outside, especially skiing in the winter or kitesurfing in the summer.

On February 10, 2013, I took an awkward fall while skiing and heard the crunch of multiple bones breaking in my leg. When I was taken to first-aid at the mountain and they removed my ski boot, the orthopedist on-site said he wasn't even going to bother taking an x-ray as it was clear that from how my foot was hanging and the multiple bones pushing against the skin that I would need surgery.

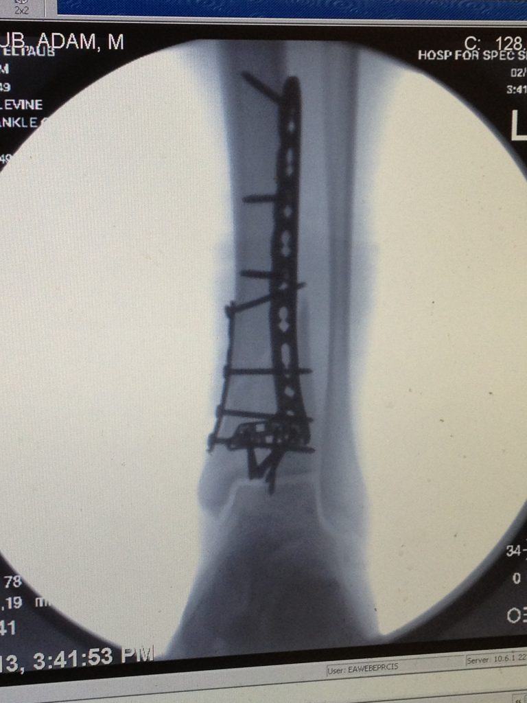
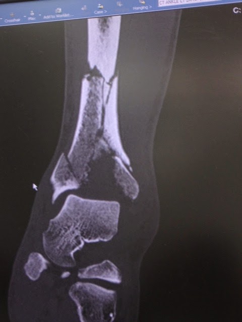
The next morning I was in Dr. Levine's office and the x-ray and MRI confirmed that I had indeed shattered my tibia into multiple pieces (x-ray and MRI attached). Surgery was scheduled for 3 days later on Valentine's Day 2013. The surgery lasted just shy of 6 hours as Dr. Levine pieced my leg together with multiple plates and a more than a dozen screws (post-surgery x-ray attached). The anesthesiologists (Drs. Michael Gordon, James Beckman, and Seth Waldman), Dr. Levine's PA, Lisa Pearson, and the entire staff were fabulous.

A few days later I was home and the recovery began. At that point my leg felt like a block of wood and looked even worse. I started to think that I would be lucky to walk again, never mind running, skiing or surfing. A week or two later I was back in the office, but I was on crutches and non-weight bearing for several months. Dr. Levine assured me that I would make a full recovery but I would have to be patient and let the bones heal before I began PT.

Over the late spring and summer I began stretching exercises, acupuncture, and walking in the pool. Eventually I was cleared to swim and by late August I was permitted to resume full activity. I didn't think my leg would ever be 100% again but Dr. Levine remained confident-and I trusted him without question. That trust kept me afloat during a very difficult time.

Needless to say, I made a full recovery and I am able to fully enjoy the outdoors again. Every time I look at the post-surgery x-ray, I am in awe that Dr. Levine was able to put all the pieces together - that I am back to aggressive skiing and kitesurfing with no limitations whatsoever. Some of my most meaningful family time is spent on the ski slopes with my wife and two daughters and will forever be grateful to Dr. Levine for getting me Back in the Game.

I truly appreciate how unique and incredible HSS is as my wife, Lauren Turteltaub, is an attending anesthesiologist at the hospital. What is truly remarkable is that although I felt very lucky to have a strong connection to the best possible care, I also know that every patient gets the same level of care I did at HSS.

HSS Providers

David S. Levine, MD

David S. Levine, MD

Foot and Ankle Surgeon

Michael A. Gordon, MD

Michael A. Gordon, MD

Anesthesiologist

Seth A. Waldman, MD

Seth A. Waldman, MD

Interventional Pain and Spine Physician

James D. Beckman, MD

James D. Beckman, MD

Anesthesiologist

Schedule a virtual or in-person appointment with an HSS specialist today. Start your request online or call 1.800.796.0482.

Make an Appointment
Robert Woodbine Image

Share Your Story and Help Others Get the Right Care

You can help inspire others by sharing your story as a patient at HSS.