Skip to main content
Hospital for Special Surgery Logo
phone 1.212.606.1000
Make an Appointment
1.212.606.1000 Make an Appointment
Back to Patient Stories Overview
Patient image of: Bradford Meisel

Bradford Meisel

Morristown, NJ

Broken Leg (Leg Fracture)

Patient image of: Bradford Meisel

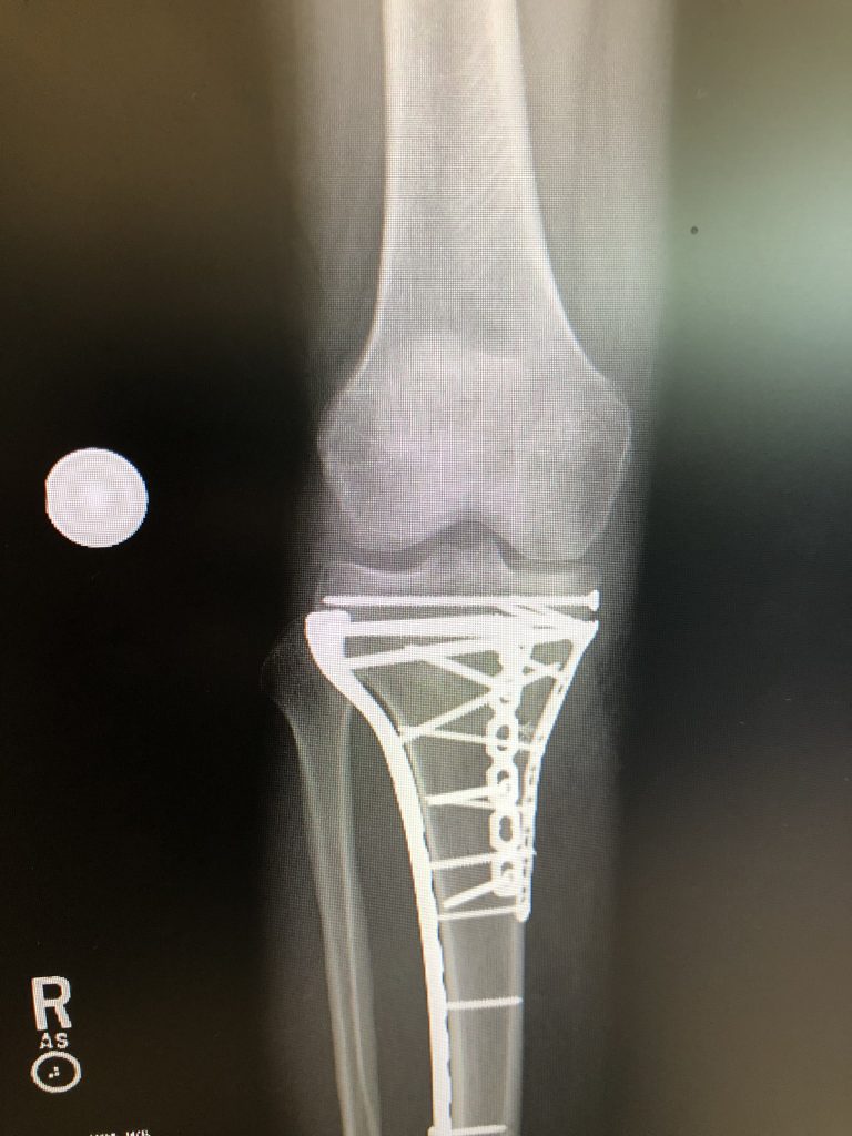
On January 4, 2023, I was injured in a freak golf cart accident while on vacation in the Florida Keys. The golf cart I was driving rolled over and pinned my leg. I was instantly struck with excruciating pain and I was rushed by ambulance to an area hospital where I was found to have suffered a severe tibial plateau fracture along with a torn meniscus and MCL and cartilage injury. The orthopedic surgeon in Florida recommended I go to New York for treatment as it was an extremely severe injury that required expert care.

My family and I immediately knew that I needed to get to HSS, where my mother and uncle had already been treated with terrific results. Within days of the accident, I flew from Florida to New York and met with Dr. Aleksey Dvorzhinskiy who immediately scheduled me for emergency surgery the following day.

The surgery was extremely complex and took nearly 9 hours start to finish but Dr. Dvorzhinskiy, with the help of resident Dr. Gregory Kazarian, successfully rebuilt my shattered leg. My post-operative x-rays are a testament to his incredible talent as a surgeon and the way in which he reconstructed the shattered tibia and salvaged the detached cartilage enabled me to recover to the point where less than 9 months after the surgery I can walk and even exercise with minimal pain and have a long active and healthy life to look forward to.

In addition to being an incredibly talented and brilliant surgeon Dr. Dvorzhinskiy was incredibly compassionate and a calming presence during those frightening days and made me feel assured that no matter how serious my injury was I would return to the life I once enjoyed and make a full recovery. My family and I knew from the moment we first spoke with him that this accident would only be a blip in my life’s journey and would not derail or limit my future in any way and he approached the entire process from the surgery to every aspect of my recovery with a strategic game plan.

During the nearly 6 days I spent in HSS, he and the rest of the staff from the internists and nurses and therapists were incredibly attentive and caring. During my first nights in the hospital, nurses Kristen Taibbi and Mairead Brock were a compassionate, caring and comforting presence for which my family and I are very grateful. Moreover, Dr. Dvorzhinskiy, along with internist Dr. Eugene Medvedev, utilized their expertise in infectious diseases to proactively address my history of C. diff which can be triggered by antibiotic treatment, by prophylactically treating me for C. diff with vancomycin. Therefore, I did not experience a recurrence of the debilitating intestinal infection despite taking a postoperative course of antibiotics and experienced no postoperative complications.

Despite being unable to bear weight on my leg for three months after my surgery I began physical therapy with Vinny Luppino at HSS Paramus within weeks of going home from the hospital. Vinny devised a program of stretching and muscle exercises to keep my muscles and soft tissue flexible during the three months I was unable to bear weight on my leg. Vinny was very strategic in developing an understanding of every aspect of my pre-accident life from my hobbies to my daily routines and the layout of my home and office and developing a long term rehabilitation plan that would enable me to resume every aspect of the life I previously led. He also maintained close communication with Dr. Dvorzhinskiy in order to ensure that every aspect of my rehabilitation was consistent and any difficulties were appropriately addressed.

Vinny also was a terrific confidant and source of moral encouragement during the months when I was virtually home bound and experiencing significant pain and he was able to empathize with what I was going through keep me motivated and optimistic even on my most difficult days. Once I was able to bear weight on my leg he helped me gradually progress to walking with a cane and ultimately driving and walking and within 5 months of the accident, I returned to my office and was able to resume living fully independently.

Vinny also worked with me to me develop an exercise program for me to follow on my own so I could rebuild my strength and endurance and improve my physical condition. Ultimately, less than 9 months after my surgery I am healthier and more fit than before the accident. I am now walking up to 6 miles a day, have lost 25 pounds and am on my way to being in the best physical shape I have been in since my mid twenties.

The fact that I went from such a catastrophic injury to living a normal active and healthy lifestyle in less than 9 months is a testament to the incredibly gifted and compassionate professionals at HSS, especially Dr. Aleksey Dvorzhinskiy and Vinny Luppino to whom I will always be incredibly grateful.

HSS Providers

Aleksey Dvorzhinskiy, MD, MSc

Aleksey Dvorzhinskiy, MD, MSc

Trauma Surgeon

Vincent J. Luppino, PT, DPT, OCS, Cert. DN, COMT, CSCS

Vincent J. Luppino, PT, DPT, OCS, Cert. DN, COMT, CSCS

Physical Therapy

Schedule a virtual or in-person appointment with an HSS specialist today. Start your request online or call 1.800.796.0482.

Make an Appointment
Robert Woodbine Image

Share Your Story and Help Others Get the Right Care

You can help inspire others by sharing your story as a patient at HSS.