Frequently Asked Questions about Stature Lengthening Surgery
Summary: This article explores stature lengthening surgery, a procedure that increases height by gradually extending leg bones using internal rods. It covers how the system works, typical height gains of 3 to 6 inches, and the recovery timeline. It also outlines ideal candidates, risks such as joint stiffness, and the need for daily stretching during the lengthening process.

In this article:
- What is height surgery called?
- What is stature lengthening surgery?
- How does the lengthening device work?
- How much taller can it make you?
- How painful is it?
- What is the minimum and maximum age you can be?
- How long does the lengthening take?
- What happens to the skin, muscles, and nerves?
- How much does the surgery cost?
- What is the success rate?
- When can I return to normal activities?
- Can I run after this surgery?
- What are the risks?
- Why come to HSS?
- What type of doctor performs this surgery?
- How long do you have to do PT?
- Key takeaways
What is height surgery called?
At HSS, we refer to this this form of bilateral leg lengthening as “stature lengthening surgery,” but it may be known by various names at other institutions, such as height lengthening surgery, height enhancement surgery, cosmetic limb lengthening surgery, or a cosmetic height increase surgery.
What is stature lengthening surgery?
Stature lengthening surgery is a procedure to increase your natural height by lengthening the bones in your legs. The lengthening occurs through a controlled break in the bone followed by gradual lengthening. During the gradual lengthening, the body attempts to heal the bone by adding new bone structure. When the lengthening is complete and the new bone structure heals, the bone is then longer, and thus your height has increased! This is usually done in each thigh bone (the femur) because of its excellent capacity to heal.
However, in some cases, the lower leg bone (tibia) may be lengthened instead of or in addition to the femur. In such cases, the fibula is also cut and stabilized to the tibia at both ends using screws as sutures, so that it lengthens as well. The fibular lengthening does not require a separate device but is achieved by the tibial lengthening nail.
How does the lengthening device work?
The lengthening device utilized most often at HSS contains two metal rods, one inside the other, and a small magnet and gears. An external magnet used by the patient connects to the internal magnet within the rod, which twists the gears and causes the two rods to separate. This "distraction" phase happens in very small increments, controlled by the surgeon and the patient, so that healing of the new bone growth ("consolidation") occurs during the lengthening.
Femurs at end of distraction.
Femurs at end of consolidation.
Femurs with nails removed.
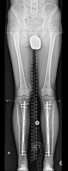
Tibia at end of consolidation.
Tibias with nails removed.How much taller can stature lengthening surgery make you?
The most common increase in height is three inches (or 8 cm) because that is how long the implanted rods extend. If the procedure is repeated in the lower leg bone (the tibia), another 2 to 3 inches can be obtained, for a total of about 5 to 6 inches of added height.
How painful is stature lengthening surgery?
There is some initial pain after the surgery that is generally well tolerated and managed while in the hospital, but the lengthening itself is usually not painful because it happens slowly over several months.
Who is a good candidate for stature lengthening surgery?
Stature lengthening is generally performed on individuals of below average height so they can approach or exceed average height. Stature lengthening candidates can have other small deformities in their legs but should otherwise be in good health. Pre-existing large deformities (such as bowleg or knock knee conditions), infections or joint pain should be managed prior to stature lengthening. Ultimately, meeting with the surgeon to discuss the procedure and undergoing a routine physical exam and X-rays will determine whether you are a good candidate.
What is the minimum and maximum age for stature lengthening surgery?
A patient must be fully grown prior to stature lengthening, with evidence of closed growth plates on X-rays. The maximum age for candidates is not clearly defined, and a person’s overall health is a better indicator of eligibility than a specific age cut-off. For patients with certain medical conditions (such as dwarfism or other skeletal dysplasias), stature lengthening may begin earlier in age and should be discussed with the surgeon.
How long does leg lengthening take?
Lengthening three inches is approximately a six-month process. Following surgery and short rest period, the bones are lengthened by less than 1mm (less than 0.04 inches) per day, and the lengthening portion of the treatment takes 3 to 4 months. The bones then take another 6 to 8 weeks to heal and then normal activity can resume. The lengthening rods are removed around 12 months after the initial surgery.
What happens to the skin, muscles, and nerves around the bone during lengthening?
The skin, muscle, and nerves also lengthen! When the lengthening bones cause these tissues to stretch, signaling occurs withing the body to add length to these structures. However, the muscles and tendons often lag behind, so it’s very important for the patient to perform daily stretches during lengthening in order to prevent joint stiffness.
How much does stature lengthening surgery cost?
Stature surgery at HSS costs $125,000 for the femurs, and $135,000 for the tibias. This covers the surgical and hospitalization fees, the implant costs, anesthesia, and office visits until the lengthening is completed.
What is the success rate of stature lengthening surgery?
The success rate of stature surgery is very high. Nearly every patient will reach a reasonable goal. At times obstacles can emerge that require unplanned trips back to the operating room, but the dedicated surgical team will be with you throughout any problems.
When can I return to normal activities after stature lengthening surgery?
Most patients return to their desired activities at six months from surgery, but each body is different and this can be variable. Nearly all patients will feel even better once the rods are removed at 12 months.
Can I run after stature lengthening surgery?
Yes, once cleared by your surgeon, you can run after stature lengthening. Initial rehabilitation focuses on strengthening the leg muscles so that any sporting activity is possible.
What are the risks of stature lengthening surgery?
The biggest risk of stature surgery is joint stiffness due to muscle tension. Stretching is mandatory following the procedure. Once the bones are fully lengthened, the joints return to normal with regular stretching and exercise. The rods can also break if too much weight is applied too early. Your surgeon will have specific instructions regarding weight bearing.
Why come to HSS for stature lengthening surgery?
HSS is a premier hospital within the United States and a worldwide leader in limb lengthening surgery. It has surgeons who are very experienced with the procedure, and they work alongside a care team (anesthesiologists, nurses, physician assistants, physical therapists) who all understand the lengthening process. Numerous publications from research on lengthening bones have been produced at HSS. The benefits of our experience are demonstrated by our outcomes data. For example, for femur lengthening using the internal fixation method, the complication rate within 90 days of surgery at HSS was found to be only 1.2% as compared to the national rate of 8.5% (Source: FAIR Health, July 2021 – December 2022). Learn more about femur lengthening outcomes at HSS.
HSS performs stature lengthening surgery at our main hospital campus on the Upper East Side of Manhattan in New York City.
What type of doctor performs stature lengthening surgery?
An orthopedic surgeon specializing in limb reconstruction performs the procedure.
How long do you have to do physical therapy after stature lengthening surgery?
Stretching of the legs occurs daily for the first six months after surgery. How much formal physical therapy is needed varies by each individual patient. We support physical therapy throughout the process but understand that each individual’s lengthening journey will be unique.
Key takeaways
- Overview: The surgery increases height by slowly lengthening leg bones using internal rods. New bone forms during healing, resulting in permanent height gain.
- Height gain potential: Most patients gain three inches via femur lengthening. Adding tibia surgery can increase height further, up to 5 or 6 inches in total.
- Recovery timeline: The process takes about six months. Lengthening occurs over 3 to 4 months, followed by healing. Rods are removed after 12 months.
- Candidacy and risks: Best for healthy individuals of short stature. Risks include joint stiffness and rod breakage. Daily stretching is essential.
-
Cost: Stature lengthening surgery costs $125,000 for femurs and $135,000 for tibias. This includes hospital fees, implants, anesthesia, and follow-up visits.
-
Success rate: The procedure has a high success rate. Most patients reach their height goals and resume normal activities within 6 to 12 months.
References
- Burns D, LoPolito AG, Hoellwarth JS, Reif TJ, Fragomen AT, Rozbruch SR. Retrograde Femoral Lengthening Below a Total Hip Arthroplasty. J Am Acad Orthop Surg Glob Res Rev. 2025 Jan 29;9(2):e24.00141. doi: 10.5435/JAAOSGlobal-D-24-00141. PMID: 39899739; PMCID: PMC11781769. https://pubmed.ncbi.nlm.nih.gov/39899739/
- Dvorzhinskiy A, Zhang DT, Fragomen AT, Rozbruch SR. Cost Comparison of Tibial Distraction Osteogenesis Using External Lengthening and Then Nailing vs Internal Magnetic Lengthening Nails. Strategies Trauma Limb Reconstr. 2021 Jan-Apr;16(1):14-19. doi: 10.5005/jp-journals-10080-1513. PMID: 34326897; PMCID: PMC8311750. https://pubmed.ncbi.nlm.nih.gov/34326897/
- Reif TJ, Geffner A, Hoellwarth JS, Fragomen AT, Rozbruch SR. Precice Stryde® Magnetic Internal Lengthening Nail does not Impair Bone Healing Despite Radiographic and Clinical Symptoms. Strategies Trauma Limb Reconstr. 2023 May-Aug;18(2):94-99. doi: 10.5005/jp-journals-10080-1514. PMID: 37942435; PMCID: PMC10628610. https://pubmed.ncbi.nlm.nih.gov/37942435/
- Reif TJ, Khabyeh-Hasbani N, Buksbaum J, et al. Bone Healing Index and Complications of a Magnetic Internal Lengthening Nail: A Retrospective Series of 286 Bone Lengthening Events. J Am Acad Orthop Surg Glob Res Rev. 2025;9(6):e25.00118. Published 2025 May 22. doi:10.5435/JAAOSGlobal-D-25-00118. https://pubmed.ncbi.nlm.nih.gov/40456100/
- Sheridan GA, Fragomen AT, Rozbruch SR. Integrated Limb Lengthening Is Superior to Classical Limb Lengthening: A Systematic Review and Meta-analysis of the Literature. J Am Acad Orthop Surg Glob Res Rev. 2020 Jun 12;4(6):e20.00054. doi: 10.5435/JAAOSGlobal-D-20-00054. PMID: 32656477; PMCID: PMC7322778. https://pubmed.ncbi.nlm.nih.gov/32656477/
- Wongcharoenwatana J, Hoellwarth JS, Greenstein MD, Reif TJ, Fragomen AT, Rozbruch SR. Comparative fixation devices for preventing migration of the proximal tibiofibular joint during tibial lengthening: a tether versus screw fixation. J Orthop Surg Res. 2023 Jul 15;18(1):298. doi: 10.1186/s13018-023-03771-z. PMID: 37452380; PMCID: PMC10349522. https://pubmed.ncbi.nlm.nih.gov/37452380/