Skip to main content
Hospital for Special Surgery Logo
phone 1.212.606.1000
Make an Appointment
1.212.606.1000 Make an Appointment
Back to Patient Stories Overview
Patient image of: Keely Connery

Keely Connery

West Hartford, CT

Hip Pain Causes, Conditions and Treatments

Patient image of: Keely Connery

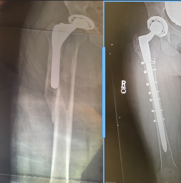
I was ice-skating with my grandson in Hartford, CT when I fell and suffered a “periprosthetic fracture and displaced subtrochanteric fracture of right femur”. I was taken off the ice, transported to a local hospital and transferred to HSS. Dr. Figgie put together a remarkable team, including Dr. Wellman, and they were able to rebuild my femur and implant a new hip stem. Within 12 weeks of my surgery, I back was hiking the Grand Canyon.

I have an involved hip history. I am so blessed that HSS and Dr. Figgie in particular came into my life 27 years ago. Dr. Figgie first “fixed” me at age 30 - 3 years after my first hip replacement (in Boston) failed. I’ve decided to stop skiing and ice skating (don’t want to push my luck) but I have lived and continue to live a full and active life. I am a high school Physics teacher and am on my feet all day. I work out daily and hike regularly. I have no pain and no limitations. Life is so good! Thank you!

HSS Providers

Mark P. Figgie, MD

Mark P. Figgie, MD

Hip and Knee Replacement Surgeon

Schedule a virtual or in-person appointment with an HSS specialist today. Start your request online or call 1.800.796.0482.

Make an Appointment
Robert Woodbine Image

Share Your Story and Help Others Get the Right Care

You can help inspire others by sharing your story as a patient at HSS.