Skip to main content
Hospital for Special Surgery Logo
phone 1.212.606.1000
Make an Appointment
1.212.606.1000 Make an Appointment
Back to Patient Stories Overview
Patient image of: Tim Wiest

Tim Wiest

Mechanicsburg, PA

Knee Pain Causes, Conditions and Treatments

Patient image of: Tim Wiest

I was living with bone on bone pain with levels reaching 8-10 in my right knee for 2 years. I did PT and various injections to no avail. The recommendations from local providers was a full knee replacement. I researched the latest knee reconstruction techniques and learned about partial replacements on the HSS website. Based on the patient criteria described I felt I was a candidate for this type surgery. Then I discovered that HSS was ranked #1 by US News and World Report as the best hospital for orthopedic surgery for 8 years in a row. That was in May of 2018 and now after the latest rankings it is 9 years in a row! Well done HSS. Once I found my hospital of choice I started researching doctors and discovered Dr. Nawabi for partial knee replacements. His health grades were outstanding and patient testimonials compelled me to make an appointment. After my thorough consultation I was convinced he would be my surgeon. He is easy to talk to, communicates in language you can understand, is patient, and extremely credible. I had total trust he would do the best surgery possible for my knee.

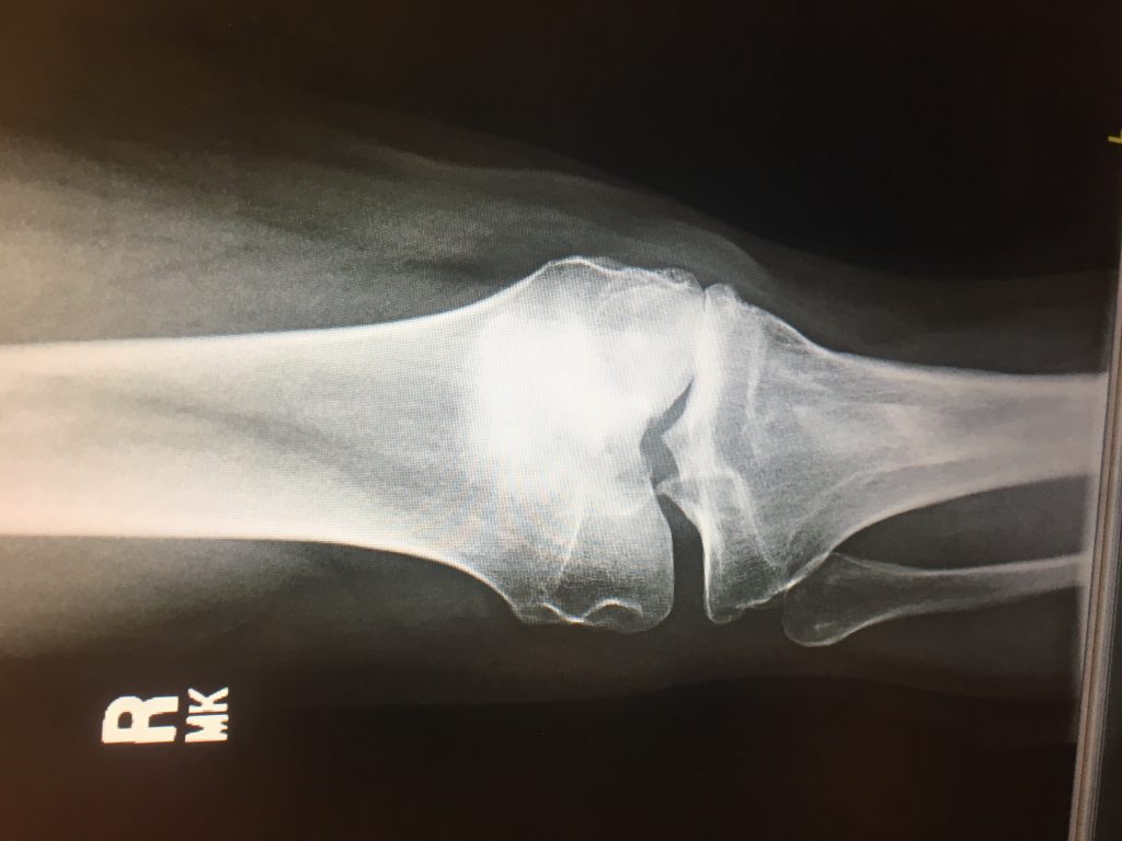
Instead of replacing my whole knee, Dr. Nawabi was able to save 2/3's of my knee. 6 months after surgery I have very little pain and enjoy an active lifestyle. I have provided pictures of my bone on bone knee prior to surgery and the partial knee replacement 6 months after surgery. I even hiked in the Rocky Mountain National Park just 10 weeks after surgery.

Everyone at HSS, from the receptionist, nurses, physician assistants, radiology technicians, physical therapists etc care about you as a patient from the time you walk thru the door until you are able to leave for home. You are not just a patient but an important CUSTOMER, and it shows in how efficient the hospital operates.

I drove 3+ hours each way for my appointments and surgery and highly recommend others do the same for their orthopedic needs. You owe it to yourself to make the trip and experience great healthcare. With the help of HSS I am "Back in the Game" and will return for other orthopedic needs in the future.

HSS Providers

Danyal H. Nawabi, MD, FRCS

Danyal H. Nawabi, MD, FRCS

Sports Medicine and Hip Preservation Surgeon

Schedule a virtual or in-person appointment with an HSS specialist today. Start your request online or call 1.800.796.0482.

Make an Appointment
Robert Woodbine Image

Share Your Story and Help Others Get the Right Care

You can help inspire others by sharing your story as a patient at HSS.