Skip to main content
Hospital for Special Surgery Logo
phone 1.212.606.1000
Make an Appointment
1.212.606.1000 Make an Appointment
Back to Patient Stories Overview
Emmy Sammons

Emmy Sammons

Rye, NY

Elbow Pain, Conditions and Treatments

Emmy Sammons

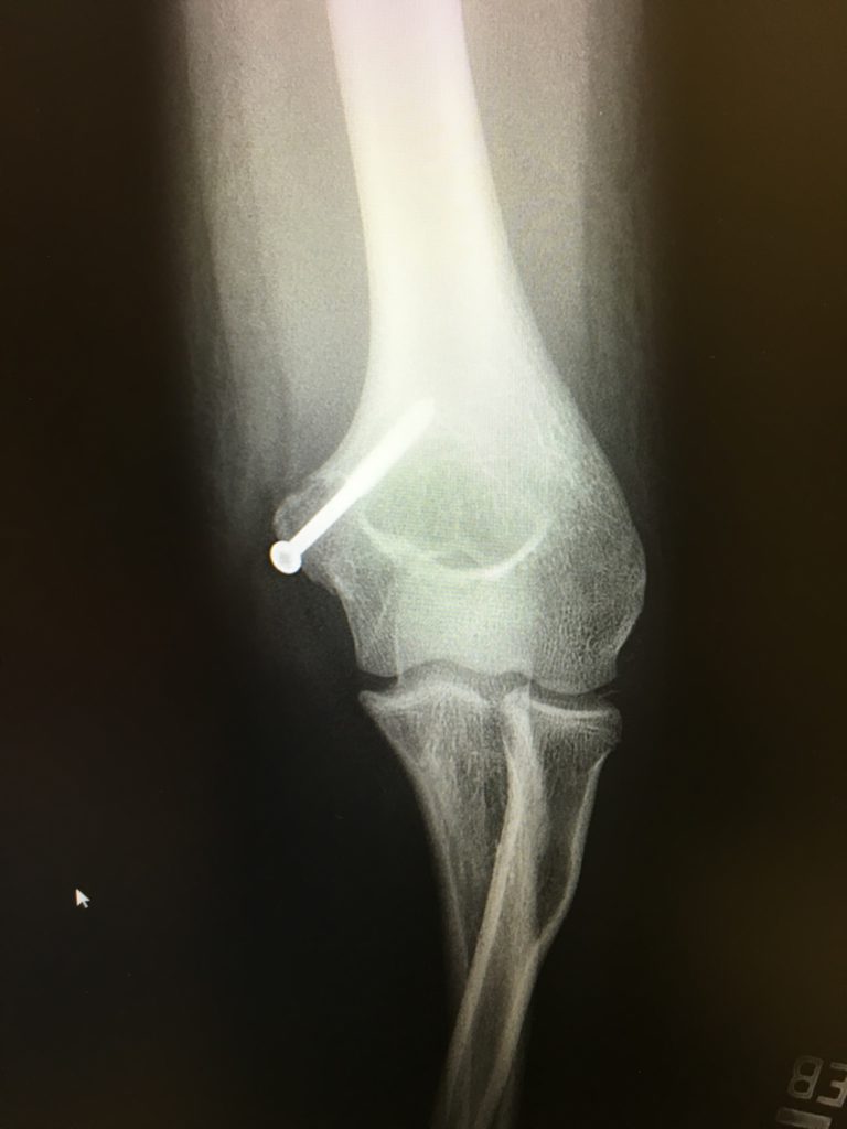
I was a member of a nationally ranked swim team and had just won the Met PGA golf 9-hole Championship.In September of 2013, I suffered a major elbow injury. Dislocating my left elbow by landing on an out-stretched arm on a trampoline, I managed to rip my medial epicondyle completely off the humerus, damaging my tendons and ligaments, and displacing the ulnar nerve. The dislocation

completely bent my elbow in the exact opposite direction of its normal

position! I was in pain and devastated.

Dr. Green took care of me at HSS and reconstructed my elbow, screwing the broken bone back in place and repairing and re-positioning my tendons and

nerve. Dr. Green gave me great care, lots of reassurance and

encouragement, and within six months (and some physical therapy) I was

making the podium at a national swim event. In 2014, I won the

Westchester County Swim Conference 14 & U 100 yard backstroke,

breaking a minute for the first time in this event. My elbow is still

going strong, and I have now participated in two seasons of high school varsity

swimming, and a season of varsity golf. This past summer (2016), I won

the 17 & U 100 backstroke at the Westchester County Swim

Championships, as well as broke 80 for the first time in a golf tournament.

Thank you Dr. Green for your skill and encouragement. You put me back

in the game! You're the BEST!

HSS Providers

Daniel W. Green, MD, MS, FAAP, FACS

Daniel W. Green, MD, MS, FAAP, FACS

Pediatric Orthopedic and Sports Medicine Surgeon

Schedule a virtual or in-person appointment with an HSS specialist today. Start your request online or call 1.800.796.0482.

Make an Appointment