Skip to main content
Hospital for Special Surgery Logo
phone 1.212.606.1000
Make an Appointment
1.212.606.1000 Make an Appointment
Back to Patient Stories Overview
Patient image of: Serena Spence

Serena Spence

Port Jefferson Station, NY

Knee Pain Causes, Conditions and Treatments

Patient image of: Serena Spence

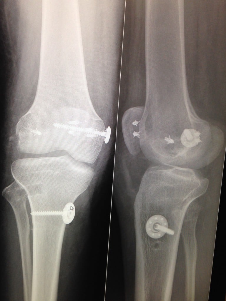
I was born with a knee problem that no doctor could figure out. My right knee was always a different shape, couldn't bend all the way, and never gained nearly as much muscle as my left leg. I have been in pain every single day of my life and not knowing if my pain could ever stop was very frustrating. I tried sports but my knee didn't cooperate and I've tried dance. I was able to run and do things like everyone else except not as long. When I was younger they told me the pain was just from "growing pains". I've had doctors tell me my knee was worn out like a 40 year old and another doctor tell me I will have to live with the pain forever. Well as I got older it became worse and worse with the amount of knee pain and I knew taking medication like Tylenol and ibuprofen could only last so long because it wasn't solving the problem. I'm from Long Island and I saw a few doctors at HSS and they referred me to other doctors there. When I was 17 I had found the doctor I was looking for and from the first visit I knew he was going to help me. He spent almost thirty minutes talking to me about my knee and the issues he already saw. I've been through so many X-rays and cat scans in my life that it has been so many I lost count! So he ordered that I get some pictures taken to see what was going on. Well he told me my bone structure was a little off, I had LAX ligaments, and my knee cap he could do a complete reconstructive surgery. I had never gotten surgery before but for the second time with Dr. Rodeo, I had trust and felt comfortable. My first surgery was over seven hours on March 28, 2014. Recovery was painful and being so small I got side effects to all the medication, it was insane, I would never even wish the pain I went through on anyone in the world. I knew going through all that physical and mental pain it would pay off. When I came back home on the Island my physical therapist would bet other people that I wouldn't go back, people would think I have a good pain tolerance but no. I had a procedure done to manipulate it to bend more summer of 2013. This summer in 2015 I got my screws taken out and it has been less painful, I go to the gym a few times a week to strengthen it up. I still can't bend it all the way and I have long scars on my knee but it was worth it. My senior year of High School when my first surgery was done I used to pull over from driving, could hardly walk upstairs to my room, and it was hard to focus in school. I was also told I wouldn't be able to walk my graduation and wear heels to prom and did both! I thank Dr. Rodeo and all the staff at HSS because now I am back to being me and back in the game.

HSS Providers

Scott A. Rodeo, MD

Scott A. Rodeo, MD

Sports Medicine Surgeon

Schedule a virtual or in-person appointment with an HSS specialist today. Start your request online or call 1.800.796.0482.

Make an Appointment
Robert Woodbine Image

Share Your Story and Help Others Get the Right Care

You can help inspire others by sharing your story as a patient at HSS.