Broken Elbows in Children: An Overview of Elbow Fractures
Bumps and bruises on the arms and legs from a fall or sports injury are a common part of childhood – one that most parents and kids take in stride. But when children injure their elbows, it’s particularly important to pay close attention to their symptoms and to seek prompt medical attention if pain and swelling persist, as the elbow may be fractured (broken).

In patients of any age, the unique anatomy of the elbow joint, which includes an intricate network of nerves, blood vessels, and ligaments, can present specific treatment challenges. In children, the presence of multiple growth centers adds to the complexity of injuries and their treatment.
When elbow fractures are not treated correctly and in a timely way, long-term problems – including deformity, arthritis, and stiffness – can develop.
Diagnosing elbow fractures
Diagnosis of elbow fractures can also be more complicated than detection of other childhood fractures. Before a growing child reaches skeletal maturity, the elbow joint is partly composed of cartilage, and an X-ray that clearly shows bone tissue more clearly than cartilage may not provide a clear image of the fractured area. To help confirm the diagnosis, Dr. Blanco and his colleagues at HSS sometimes X-ray the opposite arm in order to compare the anatomy. In some cases, MRI and/or CT scan (which show cartilage more clearly) and arthrograms – images obtained after dye has been injection into the elbow joint – are also used.
It’s important for parents to be aware that elbow fractures heal fairly quickly in children. Although this is good news when proper treatment is initiated, it also underscores the danger of delaying assessment by a physician, and when needed, referral to a pediatric orthopedist. Once the elbow begins to heal on its own, if it is not in proper position, it is harder to achieve good long-term results.
Types of elbow fractures and treatment options
The term elbow fracture describes an injury that can occur in numerous locations in the joint. These include:
- supracondylar fractures
- lateral condyle fractures
- medial epicondyle fractures
Supracondylar fractures
Seen primarily in younger children – ages four to eight years – these are the most common type of elbow fracture seen by pediatric orthopedic surgeons. This break occurs in the humerus bone just above the elbow joint.

Figure 1: Lateral (side) X-ray of a supracondylar humerus fracture.
Because the brachial artery (the main artery in the upper arm) and the nerves that control movement of the hand sit along this bone, these fractures are also associated with an increased risk of vascular and nerve injury.
If a broken bone or bone fragment pierces or puts pressure on the artery as a result of the fracture, the patient may come into the emergency room with a cold hand in which a pulse cannot be detected. This is an injury that needs to be addressed immediately in order to prevent permanent injury.
In many cases, reducing the bone – putting it back into proper alignment and relieving the pressure on the blood vessels will address the problem, and the patient’s pulse will return to normal. If a tear in a blood vessel is suspected, a vascular surgeon becomes part of the treatment team. Nerve injuries, including bruising or stretching, can take longer to resolve.
When treating a supracondylar fracture, the orthopedic surgeon strives to restore the anatomy as closely as possible to its pre-injury position or alignment.
To repair a supracondylar fracture, the orthopedic surgeon realigns the bone and usually inserts wires – about the diameter of a pencil lead – into the bone and across the fracture site, an approach that helps maintain proper alignment while protecting the growth plate in these young children. The wires extend through the skin and are covered by the cast.
After a period of about four weeks, when the fracture has healed sufficiently, the cast is taken off and the wires are removed. The child is then instructed on a gradual return to daily activities to help prevent stiffness from developing. Physical therapy can be prescribed if the patient has difficulty achieving elbow motion.

Figure 2: Lateral (side) X-ray of a supracondylar humerus fracture after treatment with realignment and wiring.
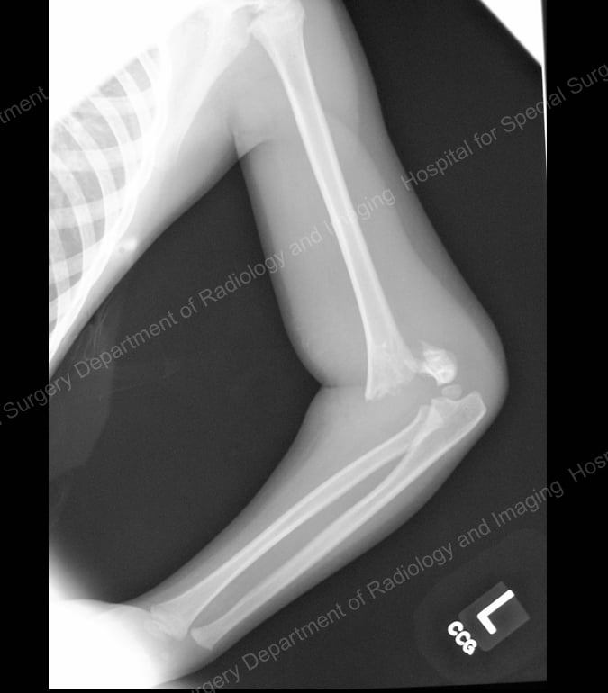
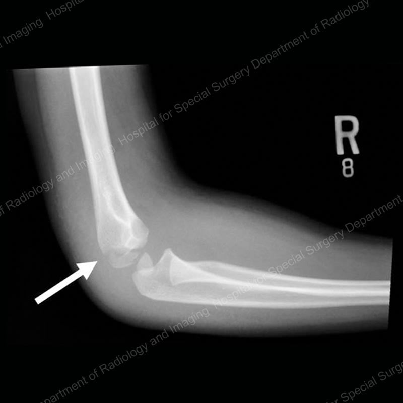
Lateral condyle fractures
These breaks occur at the outer part of the elbow, an area that serves as an attachment point for most of the muscles that straighten out the wrist and fingers, and also for the ligaments that stabilize the elbow joint. Lateral condyle fractures usually result from relatively low energy injuries, and the growth plate of the elbow typically resumes normal growth after the .

Figure 3: Anterior (front) X-ray view of a lateral condyle fracture prior to treatment. The arrow points to the fracture line.

Figure 4: Lateral (side) X-ray view of a lateral condyle fracture prior to treatment. The arrow points to the fracture line.
Orthopedic surgeons classify these injuries based on the degree to which they are displaced and determine treatment accordingly. If the fracture is non-displaced, that is, the fracture line can be seen on an image, but the bone has not shifted out of position, the patient may only require immobilization of the arm in a splint or cast. However, if any displacement is found, the bone needs to be realigned and stabilized with pins or wires as in supracondylar fractures. (Please see Figure 2 for an example of this type of wiring.) This surgery may or may not require an incision, depending on the extent of the displacement.
Medial epicondyle fractures
These are breaks that occur on the inner part of the elbow (the side closest to the body).
![]()
Figure 5: Anterior X-ray of medial epicondyle fracture, with arrow pointing toward fracture site.
Usually seen in somewhat older children in the preteen and teen years, these fractures are often incurred during athletic activities. A violent throwing motion in football or baseball, or a hard landing in gymnastics, may result in this type of fracture. These fractures can be associated with an elbow dislocation. Like the lateral epicondyle, the medial epicondyle is an important attachment point for forearm muscles – in this case, those that flex the wrist and fingers. It is also an attachment point for elbow ligaments.
Classification and treatment of medial epicondyle fractures
The precise treatment for medial epicondyle fractures is based on a classification system:
- Type I fractures, in which the bone has barely moved out of position, can be effectively treated in a cast.
- Type II fractures, in which the bone has shifted to some intermediate level, treatment often depends on the child’s level of physical activity and commitment to sports. If the child’s activity and interests mean that it will continue to be subjected to repeated overhead stress such as throwing, surgery is usually recommended.
- Type III fractures, in which the bone has been pulled significantly out of position, are candidates for surgical repair.
Because medial epicondyle fractures usually occur in older children in whom the growth plate is almost closed (marking the completion of bone growth), and because surgery requires attachment of a small piece of bone, the orthopedic surgeon may use a slightly different approach, inserting a small screw in the bone to secure the fragment.
Recovery time with this type of fixation is shorter than that needed when wires or pins are used, and the cast can be removed in as little as two weeks. Motion is then started to prevent stiffness.
![]()
Figure 6: Anterior X-ray of medial epicondyle fracture with screw set in bone to secure bone fragment.
Multiple injuries
In addition to the most common types of fracture described, up to 5% of children with supracondylar fractures experience another injury, such as wrist fracture. Children with medial epicondyle fractures may also have an elbow dislocation (a combination that may require surgical treatment to both realign the bone and repair damage to the ligaments). Typically, this is best treated surgically.
Revision surgeries for elbow fractures
Occasionally, revision surgery is necessary to treat elbow injuries that have resulted in problems related to overall alignment or function. For example, lateral condyle fractures, after cast treatment, may result in some displacement of the bone fragment and incomplete healing, a condition known as a non-union. In many cases, a good result can be achieved even after months – or occasionally years – of non-union.
Broken elbow recovery time
Following treatment for an elbow fracture, most children remain in a cast for about three to four weeks. Casting extends above the elbow and down to the wrist, leaving the fingers free and the arm placed in a sling. Keeping the arm immobilized is a key part of successful recovery. During this period the child needs to refrain from a number of activities, including gym at school and running and jumping during play time. Keeping the cast dry is also important when wires or pins extend through the skin, and to protect sutures in the area.
Once the cast is removed, with proper rehabilitation, children can quickly return to their normal activities, including sports. Initial stiffness in the arm can be expected to dissipate with use. If stiffness persists, physical or occupational therapy may be recommended if the range of motion remains limited.