Skip to main content
Hospital for Special Surgery Logo
phone 1.212.606.1000
Make an Appointment
1.212.606.1000 Make an Appointment
Back to Patient Stories Overview
Patient image of: William Tweedie

William Tweedie

Southbury, CT

Clubfoot

Patient image of: William Tweedie

MY JOURNEY TO WALKING NORMALLY AGAIN!

I was born with a birth defect, a left clubfoot. My right foot is normal. My parents took me to several specialists when I was a child. The decision was made to not do anything surgically to my left foot. The doctors told my parents to let me do anything I wanted but when my left foot started to hurt just stop that activity and let the foot recover. I followed this advice for 61 years.

My childhood was totally normal. I played sports, making the varsity football team in my junior year in high school. As a young adult, I joined a gym with my workmates, played in the racquetball league and weight trained. Physically, I felt like any other person my age. The only challenge was buying shoes and sneakers that would fit my left foot. My left foot was a size and one half smaller than my right foot.

Over the years I went to orthopedic specialists to check my foot. I was active and in shape, so nothing needed to be done. I was successfully compensating for my left foot. This all changed when I was 61.

By the end of 2021, I was feeling a lot of pain in my left foot and ankle after approximately 4-5 hours of use. The foot became extremely inverted, so walking was getting difficult. Working in the yard and home do-it-yourself projects, activities I love, became hard. I had no confidence in my ability to get around enough to get the jobs done.

In January 2022, I started my search for a doctor that could help me. After months of looking in Connecticut where I live, I couldn’t find a doctor that could give me more than a 50/50 chance of successfully treating my foot so I could resume normal life activities. Several of the specialists I visited suggested amputation. I was not happy with this treatment path! I started losing hope. I feared my retirement years would be lived in a wheelchair.

My wife, Marcey, got a referral from a work colleague for an orthopedic doctor who, when I was examined by him, recommended Dr. Rozbruch and HSS in New York City. I waited several months to contact Dr. Rozbruch’s office because I feared the possibility that he too would not have a solution that would work for me. I was feeling depressed and hopeless. My wife and I were trying to enjoy a day trip in upstate New York. My ankle and foot were giving me so much pain we had to cut the days activities short. I made the decision to contact Dr. Rozbruch. That decision changed my life!

In May 2022, I was examined by Dr. Rozbruch. The exam was very thorough, much longer than my previous exams with other practices. When I asked if amputation was the solution, I was surprised when Dr. Rozbruch told me absolutely not! He was so confident and informed me he would help me. Marcey and I almost cried. We were both impressed by Dr. Rozbruch’s friendly, calm demeanor. We felt in our hearts this was the practice and this was the doctor that could give me back my normal way of life.

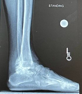
The details of my exam are shown below:

EXAM: CT WEIGHT BEARING FOOT LEFT MAY 2022

HISTORY: Clubfoot with residual deformity. Base of the 5th metatarsal fracture nonunion

FINDINGS: Axial scans were done with sagittal coronal reformatted images.

There is severe acquired no varus deformity and metatarsus adductus and metatarsus varus. There is severe varus alignment of the ankle. There is lateral subluxation of the talus with respect to the tibia. There is bone-on-bone apposition of the medial aspect of the articular surface the talus with the lateral aspect of the articular surface of the tibia. There is apposition of the medial process of the talus with the medial malleolus. There is prominent cystic change in the medial malleolus and sclerosis of the medial process of talus. There is narrowing of the subtalar joint. There is fibular impingement with impingement of the lateral malleolus with a posterior aspect of the talus. There is a chronic nonunion of a fracture of the base of the 5th metatarsal with a bony fragment measuring about 16 mm beneath the base of the 5th metatarsal.

Waiting for my surgery date was difficult. I had hoped that Dr. Rozbruch could correct/salvage my ankle, but I wanted to have it fixed immediately. The daily pain caused depression and the unknown of whether my ankle/foot could be corrected also caused much anxiety. The date finally came, September 12, 2022:

IMPRESSION:

CC: This 62-year-old male presents for preoperative medical evaluation for Severe foot and ankle deformity with residual clubfoot deformity.

09/12/2022

8:00 AM

FUSION, ANKLE

EXCISION BONE-FIBULA

APPLICATION OF ILIZAROV/TAYLOR SPATIAL LOWER EXTREMITY

RELEASE TENDON LOWER EXTREMITY, FHL, FDL, PTT

RELEASE TARSAL TUNNEL

Rozbruch, S Robert

HSS MAIN OR

The above is a good example of what Dr. Rozbruch planned to do with my ankle and foot. I was really ready for my surgery!

The surgery took a couple of hours with general anesthesia used. I was rolled into the operation theater at 8am and when I awoke it was 7 pm! After the surgery, I was assigned a room at the HSS with a beautiful view!

I spent two nights at HSS in recovery. Pain was not an issue. I felt uncomfortable getting used to the new hardware placed on my foot and ankle, held by 15 rods and pins! HSS taught me how to get around using a walker and crutches. This was the beginning of the hardest part in my journey to walking again.

My wife and her cousin helped me when I got released from HSS. It took over three hours to get home due to the heavy traffic in the city. I was stretched out on the back seat with my operated leg up on the seat. On the way home it finally hit me on how constraining life was going to be while my ankle and foot healed.

From September 2022 to January 2023, I could not walk without crutches and/or a walker. Even with the crutches and walker I could not put more than 50% of my weight on them. This led to many days binge watching shows on TV. Cleaning the pin sites gave me something to do each day for a little while. Taking a shower was tricky, trying to safely get in and out without falling. Two weeks after my surgery I went to a wedding in Vermont (I live in CT)! This was a mistake because I wasn’t accustomed to walking with the fixator and I became anxious that something would happen far from home. I stayed close to home after that experience. My wife works, so I was alone all day. I will emphasize that the time with the fixator on is a huge challenge and shouldn’t be taken lightly.

When the fixator was removed, I had to wear a cast for several weeks and then a boot for another pair of weeks. My mood and outlook began to change. My ankle and foot felt strong, straight, and flat! After the removal of the boot, my wife and I went to diner to celebrate! I haven’t felt as confident in a long, long time! I do not have any pain. I am so very happy with the correction and greatly improved quality of life that Dr. Rozbruch has given me. It was so much fun to mow the lawn and work in the garden again!

My left foot is now like my right for the first time in my life! I can even run for the first time in years!

THANK YOU DR. ROZBRUCH!

HSS Providers

S. Robert Rozbruch, MD

S. Robert Rozbruch, MD

Limb Lengthening Surgeon

Schedule a virtual or in-person appointment with an HSS specialist today. Start your request online or call 1.800.796.0482.

Make an Appointment
Robert Woodbine Image

Share Your Story and Help Others Get the Right Care

You can help inspire others by sharing your story as a patient at HSS.