Skip to main content
Hospital for Special Surgery Logo
phone 1.212.606.1000
Make an Appointment
1.212.606.1000 Make an Appointment
Back to Patient Stories Overview
Patient image of: Lou M.

Lou M.

Patient image of: Lou M.

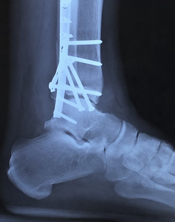
After sustaining a trimalleolar fracture of my left ankle on July 15,2020, Dr. David S. Levine came highly recommended. After my first appointment, he exceeded all trustworthy expectations. Dr. Levine and his (PA) Lauren Buchwald took the time to answer all my questions.

A few days later, I had my surgery at HSS, where the whole staff was accommodating and the hospital was so clean. Special thanks to Daniel O’Neill (anesthesiologist), Veronica (RN), Jen and Charlie (techs), and Paul and Kim in Recovery.

It’s been approximately 16 weeks since surgery now and I am still going to therapy. I have made great progress & am working forward to being a hundred percent again. This recovery wouldn’t be possible if it weren’t for the expertise of Dr. David Levine who is truly the “EPITOME” of a Great Orthopedic Surgeon!

Thank You All!

Lou Melfi

P.S. Special thanks to his medical secretaries, Gertrude and Jadira, who were very helpful as all the staff. Professional, courteous and kind!

HSS Providers

David S. Levine, MD

David S. Levine, MD

Foot and Ankle Surgeon

Schedule a virtual or in-person appointment with an HSS specialist today. Start your request online or call 1.800.796.0482.

Make an Appointment
Robert Woodbine Image

Share Your Story and Help Others Get the Right Care

You can help inspire others by sharing your story as a patient at HSS.