Skip to main content
Hospital for Special Surgery Logo
phone 1.212.606.1000
Make an Appointment
1.212.606.1000 Make an Appointment
Back to Patient Stories Overview
Patient image of: Carolyn Miller

Carolyn Miller

Westbury, NY

Foot Pain Causes, Conditions and Treatments

Patient image of: Carolyn Miller

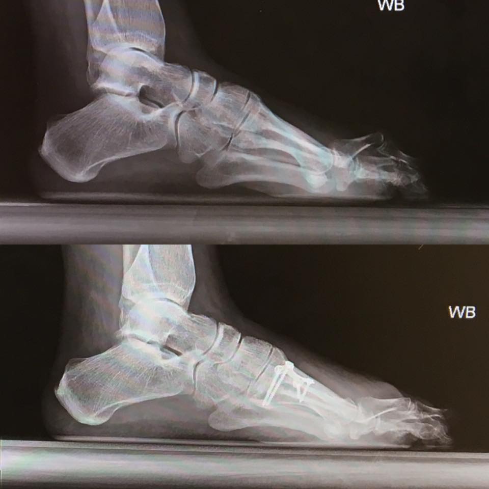
I came to HSS for a consultation after the recommendation of my Physical Therapist at the time. I was in constant pain in my foot and my foot was stuck in "dorsiflexion" from previous surgeries. Quite simply I always looked like an elf and my toes pointed upwards. When I met with Stephen Costigliola and Dr. Scott Ellis I felt confident in the plan they presented to correct the issue. Throughout the time period from consultation to surgery, Stephen and Dr. Ellis remained available if a question or concern presented itself. After I completed a Half Marathon in November the pain increased and was not relieved by any methods. I reached out for help and the amazing staff at Dr. Ellis' office (Carlos) advised me that my surgery could be moved up by 2 months.

On January 10, 2017 I went to HSS and had the following performed:

Toe Fusions, Osteotomy Metatarsal, Release of Metatarsophalenageal Joint in my Foot, Recession of Gastrocnemius and Lengthening of Tendon.

The staff at the hospital and the staff following up were amazing. Six months post-operatively, I was cleared to return to my prior level of functioning. I am starting to go to CrossFit and am enjoying the ability to get "Back In The Game". I will forever be grateful to the staff of HSS and especially to Dr. Ellis & Steve.

HSS Providers

Scott J. Ellis, MD

Scott J. Ellis, MD

Foot and Ankle Surgeon

Schedule a virtual or in-person appointment with an HSS specialist today. Start your request online or call 1.800.796.0482.

Make an Appointment
Robert Woodbine Image

Share Your Story and Help Others Get the Right Care

You can help inspire others by sharing your story as a patient at HSS.