Skip to main content
Hospital for Special Surgery Logo
phone 1.212.606.1000
Make an Appointment
1.212.606.1000 Make an Appointment
Back to Patient Stories Overview
Patient image of: Douglas Friedman

Douglas Friedman

Columbia, NJ

Spinal Fusion Surgery

Patient image of: Douglas Friedman

After years of research and consultations regarding scoliosis surgery, I met Dr. Stéphane Owusu-Sarpong, and the experience changed everything.

Following comprehensive testing, Dr. Owusu-Sarpong confirmed that I did indeed need scoliosis surgery. But what truly set him apart was his insight and depth of care: he identified that before scoliosis surgery could safely and successfully occur, I first needed a three-level cervical fusion. This critical issue had not been addressed by any other surgeon I had consulted. Addressing my neck first wasn’t optional - it was essential. That level of foresight and precision spoke volumes.

From my very first meeting, Dr. Owusu-Sarpong and his team were exceptional. Every interaction was professional, thorough, and unhurried. Every question was answered - clearly and patiently - and then some. My sons, Jake and Jared, were included in every conversation and kept fully informed every step of the way, which meant the world to me.

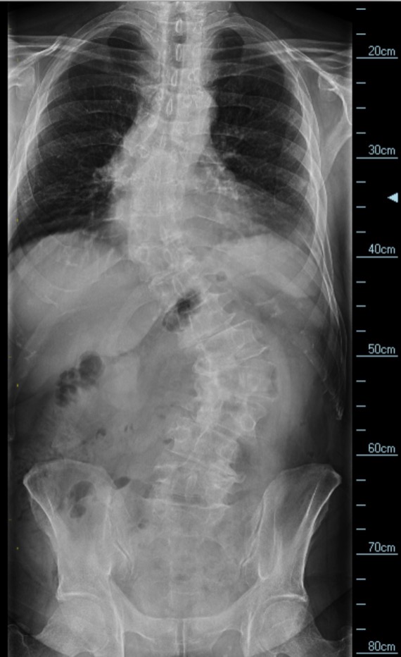
Included with my story are images of my first surgery on the neck and an image of my entire spine (to be repaired in late Spring).

HSS Providers

Stéphane Owusu-Sarpong, MD

Stéphane Owusu-Sarpong, MD

Spine Surgeon

Schedule a virtual or in-person appointment with an HSS specialist today. Start your request online or call 1.800.796.0482.

Make an Appointment
Robert Woodbine Image

Share Your Story and Help Others Get the Right Care

You can help inspire others by sharing your story as a patient at HSS.