Skip to main content
Hospital for Special Surgery Logo
phone 1.212.606.1000
Make an Appointment
1.212.606.1000 Make an Appointment
Back to Patient Stories Overview
Patient image of: Gerie Whitney

Gerie Whitney

Southport, NC

Knee Replacement

Patient image of: Gerie Whitney

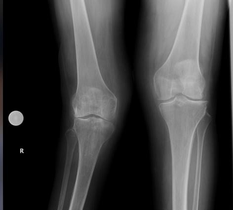
In 1950, I got polio when I was 18 months old. I was fortunate that I wasn’t left paralyzed. It weakened and atrophied my right leg. By my late 50s I began to experience progressing weakness and more problems with my right leg. My foot was turning over, while my knee was valgus and losing stability. I had arthroscopic knee surgery in 2005, and then a foot fusion in 2014. However, neither stopped the deterioration and increasing instability of my leg. By 2006 I was diagnosed with Post-polio syndrome (PPS). The past two years this worsened and even with a knee-ankle-foot orthosis (KAFO), my leg was hyperextending and buckling in every direction, with the knee dipping sideways and backward constantly.

I consulted a top knee surgeon in North Carolina, but he said I was not a good candidate for regular knee replacement nor a hinged knee replacement. When we visited New York last December, I was lucky to get a last minute appointment with Dr. Shen. He thoughtfully evaluated my x-rays, history and present condition. He said he felt a hinge knee replacement would help me. He said he would meet in January with a panel of doctors who review complex cases and let me know their recommendations. After this meeting, we had a virtual appointment, where he said the panel felt a hinged knee replacement would best address my problems. I was very hesitant and concerned about complications. Dr. Shen listened and responded to all my questions and anxiety with consideration and empathy.

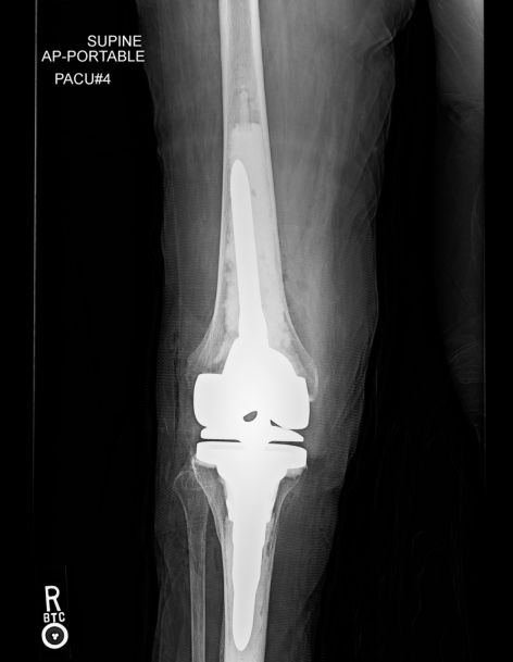
In May 2024, I did have the surgery and feel fortunate that it has worked so well. My leg is straighter than it’s ever been with hyperextending and minimum pain after the surgery. I am still going to PT (it’s been a month since the surgery), but thanks to the experience and continuing studies of Dr. Shen, I am progressing without constantly feeling my knee buckling and fearing I will fall because knee could collapse. Dr. Shen continues to be kind and considerate and interested in how I am coming along and encouraging me (not always the case after other surgeries). He does not close the book on you once surgery is finished but control help you achieve best outcome going forward. Thank you Dr. Shen, it’s truly a miracle to have a straight and stable leg!

I am blessed to have found you when others turned me away as a hopeless case.

HSS Providers

Tony S. Shen, MD

Tony S. Shen, MD

Hip and Knee Replacement Surgeon

Schedule a virtual or in-person appointment with an HSS specialist today. Start your request online or call 1.800.796.0482.

Make an Appointment
Robert Woodbine Image

Share Your Story and Help Others Get the Right Care

You can help inspire others by sharing your story as a patient at HSS.