Skip to main content
Hospital for Special Surgery Logo
phone 1.212.606.1000
Make an Appointment
1.212.606.1000 Make an Appointment
Back to Patient Stories Overview
Patient image of: Pawel Zawadzki

Pawel Zawadzki

Queens, NY

Patient image of: Pawel Zawadzki

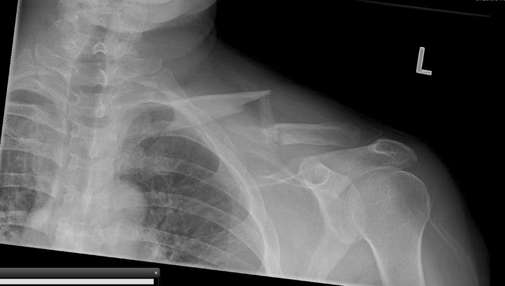
While skiing and enjoying a beautiful sunny day and the fresh snow, I fell and broke my left collarbone. Snow patrol brought me down from the slope and I was transported to an emergency room at a hospital in Pennsylvania.

After getting back to New York I scheduled a visit with Dr. Daniel Dziadosz at HSS. Dr. Dziadosz confirmed my worst fears, my collar bone was displaced and broken in multiple places. Dr. Dziadosz explained the nature of the injury and the steps involved in surgery and my rehabilitation. He made me feel comfortable and confident. I knew I was in the right place.

The operation went well. I've got two plates and 11 screws. Six months later I feel great. I am swimming, biking and waiting for the next skiing season.

I am grateful to Dr. Dziadosz and his team - Austin, Eloina, and the nurses for all the care I received.

HSS Providers

Schedule a virtual or in-person appointment with an HSS specialist today. Start your request online or call 1.800.796.0482.

Make an Appointment
Robert Woodbine Image

Share Your Story and Help Others Get the Right Care

You can help inspire others by sharing your story as a patient at HSS.