Skip to main content
Hospital for Special Surgery Logo
phone 1.212.606.1000
Make an Appointment
1.212.606.1000 Make an Appointment
Back to Patient Stories Overview
Patient image of: Azadeh Rashidi

Azadeh Rashidi

New York, NY

Patient image of: Azadeh Rashidi

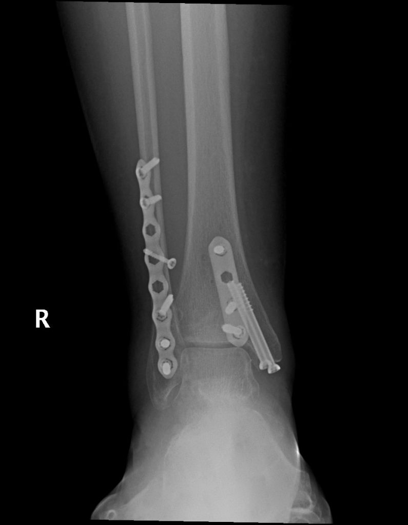
Having never broken anything before, I have always lived in fear of it. I had a very bad fall and fractured all the bones in my ankle this summer. Thankfully, the ambulance was willing to take me to HSS at NYP. The doctors in the ER were great and did the best they could, but it was obvious I would need surgery. Dr. Stephen Behrens, his PA Meagan Murtagh, and the entire staff are amazing and work miracles. My surgery was scheduled immediately and went off smoothly. It has taken a lot of effort and physical therapy in the past few months to get Back in the Game, but I owe a lot to this team. There's a reason that this hospital is number one in the country for orthopedic surgery and Dr. Behrens certainly lives up to the reputation.

As an extra note, I also appreciate the team that deals with billing and insurance. I never had to deal with any of the nuisances of miscommunication with insurance. All the bills were sorted out and made sense in relation to what my insurance confirmed and charged. The whole experience has restored my faith in healthcare in America, though I know this is an exception and not the rule.

HSS Providers

Steve B. Behrens, MD

Steve B. Behrens, MD

Foot and Ankle, Sports Medicine, and Trauma Surgeon

Schedule a virtual or in-person appointment with an HSS specialist today. Start your request online or call 1.800.796.0482.

Make an Appointment
Robert Woodbine Image

Share Your Story and Help Others Get the Right Care

You can help inspire others by sharing your story as a patient at HSS.