Skip to main content
Hospital for Special Surgery Logo
phone 1.212.606.1000
Make an Appointment
1.212.606.1000 Make an Appointment
Back to Patient Stories Overview
Patient image of: Patricia Toscano

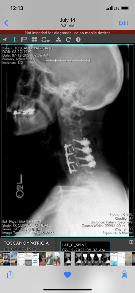
Patricia Toscano

Greenbrook, NJ

Spinal Fusion Surgery

Patient image of: Patricia Toscano

I had been paralyzed in February, and was in a speechless place for three days! I was saved by Dr . Kim! He was the only doctor to make a blessed decision to save my life! With the help of the hospital staff as well as a social worker, it was all made possible! I’m stronger then ever! A true miracle! Thank you Dr. Kim! I don’t know the words to express the grateful breath I wake up to everyday! I have joy in my heart every breath I take I’m grateful for you. You gave me my active life just like you said! Dr. Kim is a godsend! Truly a beautiful soul of a human being! I’m off pain medication after 8 years of a cervical spine problem with nerve and brain injury! Dr Kim fixed a percentage of it I feel. I truly have a beautiful journey forward.

This experience has been severely traumatizing for me. I believe I truly have my life back because Dr. Kim is a loyal soul of a doctor! Blessed to have you in my heart for the rest of my days. Yesterday was 6 months from my surgery, and I will do my best to stay active. It feels wonderful to have no pain, as there are many challenges with the nerves that trigger brain issues. I’m so much better. I have about 6 months to pay attention, and it should get better as the days go by. The cold is being a problem, so I’ll stay home this winter. Blessed to be alive! I’m on a journey one day at a time. Dr. Kim saves! Thank you!❤️

HSS Providers

Han Jo Kim, MD

Han Jo Kim, MD

Spine Surgeon

Schedule a virtual or in-person appointment with an HSS specialist today. Start your request online or call 1.800.796.0482.

Make an Appointment
Robert Woodbine Image

Share Your Story and Help Others Get the Right Care

You can help inspire others by sharing your story as a patient at HSS.