Skip to main content
Hospital for Special Surgery Logo
phone 1.212.606.1000
Make an Appointment
1.212.606.1000 Make an Appointment
Back to Patient Stories Overview
Patient image of: Élan Carmel

Élan Carmel

Paramus, NJ

Finger Injuries and Conditions

Patient image of: Élan Carmel

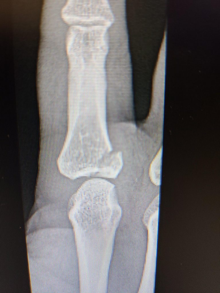
My story begins when my finger was broken one night in April. Wow, that was painful! I then went to the ER and after a couple of x-rays, they confirmed my finger was actually broken. The next phase was to find the best doctor to help fix my broken finger. I had previously been to HSS for my knee and thought there is nowhere else I would go other than HSS. I went through the HSS directory and after a few phone calls to inquire I zeroed in to meet with Dr. Save. I was very impressed with his experience and even more impressed when I met him. I told Dr. Save that I am an avid firearms shooter and that I've been shooting for over 20 years. I take part in shooting competitions all throughout the year and THE most important part of my body is my trigger finger! Dr. Save said that he has a plan to help me get back on track, and I had full confidence that he will. After I woke up from the surgery, he said that it went very well and that we need to start on the road to recovery. I met with Dr. Save all throughout the healing process and each time we met, he was impressed with how well the surgery went and how my finger was healing. Today, I am Back in the Game! I'm at the range every weekend and enjoying every minute of it. My finger is back to normal, I have full range of motion, no pain whatsoever and more importantly my quality of life is back to normal as well. I have 3 small children at home and the day to day of being a dad, a husband, a homeowner and an avid marksman, everything came back to the way it was. I wanted to share my story to let everyone know how thankful I am for Dr. Save and thankful he helped me get back to the things I love the most in life with his incredible gift and talent as a surgeon. Thank you, Dr. Save, you SAVED me! And of course, Thank you HSS!

HSS Providers

Ameya V. Save, MD

Ameya V. Save, MD

Hand and Upper Extremity and Trauma Surgeon

Schedule a virtual or in-person appointment with an HSS specialist today. Start your request online or call 1.800.796.0482.

Make an Appointment
Robert Woodbine Image

Share Your Story and Help Others Get the Right Care

You can help inspire others by sharing your story as a patient at HSS.