Skip to main content
Hospital for Special Surgery Logo
phone 1.212.606.1000
Make an Appointment
1.212.606.1000 Make an Appointment
Back to Patient Stories Overview
Patient image of: Christine

Christine

Greenwich, CT

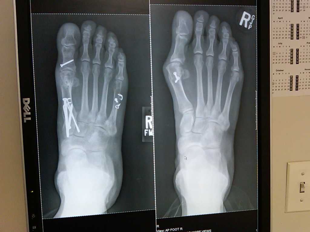
Bunions

Patient image of: Christine

In October of 2014, I had surgery on the bunion on my left foot. Dr. Levine did an amazing job in the surgery and the recovery, while not exactly a walk in the park, was as easy as it could have been under the circumstances. A good friend had surgery on the same foot for the same thing at a different hospital and his foot still gives him pain today, over a year later. Eight weeks after surgery, my family and I vacationed in the Bahamas, and I was able to walk on the beach with my two boys. Fourteen months after surgery on Christmas Day of 2015, we climbed Machu Picchu together as a family!

HSS Providers

David S. Levine, MD

David S. Levine, MD

Foot and Ankle Surgeon

Schedule a virtual or in-person appointment with an HSS specialist today. Start your request online or call 1.800.796.0482.

Make an Appointment
Robert Woodbine Image

Share Your Story and Help Others Get the Right Care

You can help inspire others by sharing your story as a patient at HSS.