Skip to main content
Hospital for Special Surgery Logo
phone 1.212.606.1000
Make an Appointment
1.212.606.1000 Make an Appointment
Back to Patient Stories Overview
Patient image of: Leigh Piccolo

Leigh Piccolo

Hoboken, NJ

Scoliosis

Patient image of: Leigh Piccolo

My name is Leigh and I want to share my journey through my spinal fusion surgery. I have had scoliosis since I was 13, and at the age of 30 I noticed it had been progressing more than I would like. With two curvatures in the 40 degree range I opted for a spinal fusion to correct my scoliosis which would fuse T3-L3 of my spine. While I did not get the surgery at HSS, it was very successful. I am nearly fully corrected for both my scoliosis and kyphosis. See pre and post op x-rays.

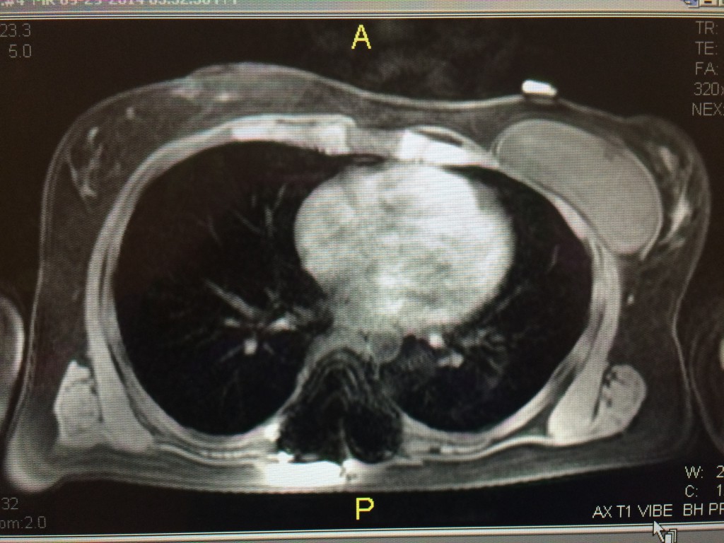
My issues started 3 months post-op with chest pain. I had severe chest pain on my left side only. I was supposed to begin Schroth PT around the time I began having pain. I was in and out of my surgeon and then a pain management doctor's office as I could not do my physical therapy activities without significant pain and discomfort. My pain doctor and my surgeon explained that in the de-rotation of my ribcage my cartilage that connects my ribs to sternum on my left side was inflamed due to the new position of my ribs. See section of my MRI of the difference in size of my left v right chest cavity - this is post op.

We tried EVERYTHING. After months and months of prescription anti-inflammatory medication and cortisone injections I was at the point where I thought my choices were to live in pain (which is not living the way a 30 year old should) or begin a long term pain management with neurological medication. The thing about inflammation is that you need to constantly manage it because it has cumulative effects. We were consistently unable to get it under control.

At nearly the end of my rope, and honestly beginning to fall into a depression, I decided as one last try to see a new Physical Therapist. I called HSS and was informed about their long waiting list for Schroth. I spoke to Clarence and I was nearly in tears explaining my urgent need to see someone for my pain. Efrat Cohen took my call. She listened patiently and decided to move things around so I could come in for an evaluation.

While Efrat (Effie) practices true Schroth, she looked at me differently than any other doctor or PT I had met. She took my symptoms as a whole story and began to unravel how I ended up in this condition. She was able to understand which muscles needed releasing and which ways I needed to position my body for stretches. In the beginning there was a lot of massage as I had about 0 activity up to that point and it was nearly a year post op by the time I met Effie.

We were making slow progress and eventually between summer holidays we had a few week break from our appointments. I began to be chronically out of breath. I went back to my slew of doctors and then again a new specialist. This time it was a lung specialist. This doctor told me I would have difficulty breathing normally for the rest of my life and that she was surprised that I was even able to walk to work with my current muscular skeletal state. She told me there was no way to treat this condition.

In a total panic I went to see Effie. She did another evaluation looking at me with the perspective of these new symptoms. She created ONE exercise for me after watching me run around the office that changed my life. She had me hold a rope in my hands that was threaded through a ladder. I would pull on each side of the rope one side at a time while also twisting my rib cage. This had the effect to loosen all the muscles that were clamped down in my chest area which was the reason I couldn't breathe. It was only uphill from there.

I am now able to function at 90 percent of what I used to after nearly 2 years and I owe it ALL to Effie. I am never one to want to take neurological medication, or any other type of long term medication, especially if there are other options. If I hadn't met Effie and had her show me that there are other options outside of treating with medication, I could have had to go down that route forever. I have my arsenal of exercises and I know based on how I am feeling what my body needs. I wish I had met Effie before I had surgery, I am sure I would have still had the surgery but I would have been more prepared. I don't know how long it will be, or if ever, that I am totally back to "normal". I am still completely gluten free (as gluten is inflammatory) and need to beware of how I sit and sleep. There are minor dues to pay to feel as good as I do now. THANK YOU thank you Effie for teaching me how you can address problems through physical therapy and knowledge of your own body.

HSS Providers

Schedule a virtual or in-person appointment with an HSS specialist today. Start your request online or call 1.800.796.0482.

Make an Appointment
Robert Woodbine Image

Share Your Story and Help Others Get the Right Care

You can help inspire others by sharing your story as a patient at HSS.