Skip to main content
Hospital for Special Surgery Logo
phone 1.212.606.1000
Make an Appointment
1.212.606.1000 Make an Appointment
Back to Patient Stories Overview
Patient image of: Donna B.

Donna B.

East Haddam, CT

Scoliosis

Patient image of: Donna B.

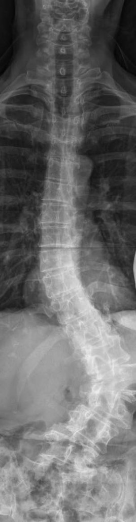
In the past 12 years, my scoliosis had advanced from a stable 26 degree curve to a curve over 70 degrees, and the curve was continuing to progress. I am 65 years old and since many of my family members have lived into their 90s, I knew I would be severely compromised if I lived as long. I decided to come to HSS and discuss my options and the pros and cons of surgery with Dr. Han Jo Kim.

After talking with Dr. Kim, I became convinced that surgery was my best option, and Dr. Kim performed my spinal fusion surgery in late 2014. It has truly changed the course of my life. My spine has been straightened to a remarkable degree, and I am 1 ½ inches taller. I am in physical therapy now and discovering my increased abilities. Without surgery, I would have faced a life of increasingly severe restrictions due to my scoliosis.

I am thrilled at this new chance to live a healthy, active life. I will be forever thankful to Dr. Kim for this wonderful gift.

HSS Providers

Han Jo Kim, MD

Han Jo Kim, MD

Spine Surgeon

Schedule a virtual or in-person appointment with an HSS specialist today. Start your request online or call 1.800.796.0482.

Make an Appointment
Robert Woodbine Image

Share Your Story and Help Others Get the Right Care

You can help inspire others by sharing your story as a patient at HSS.